Работы

Работы


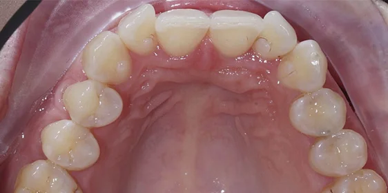
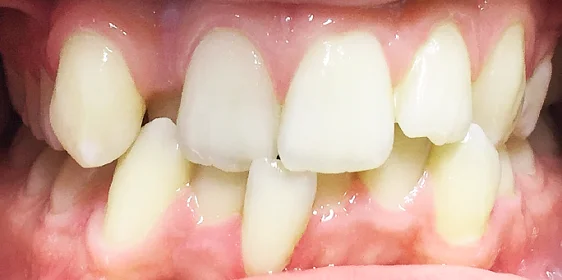
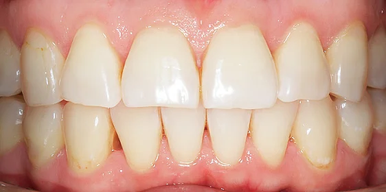
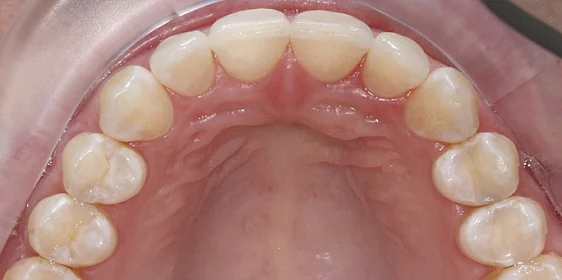
Изменение скученности зубов с помощью системы Invisalign Изменение скученности зубов с помощью системы Invisalign
Изменение скученности зубов с помощью системы Invisalign
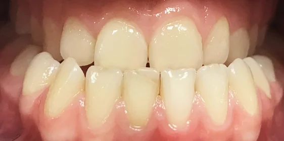
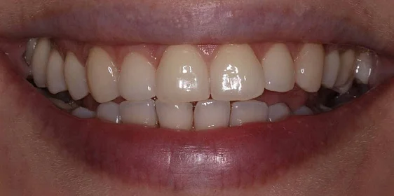
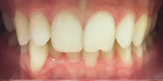
Завершающий этап лечения скученности и обратного перекрытия Завершающий этап лечения скученности и обратного перекрытия
Завершающий этап лечения скученности и обратного перекрытия
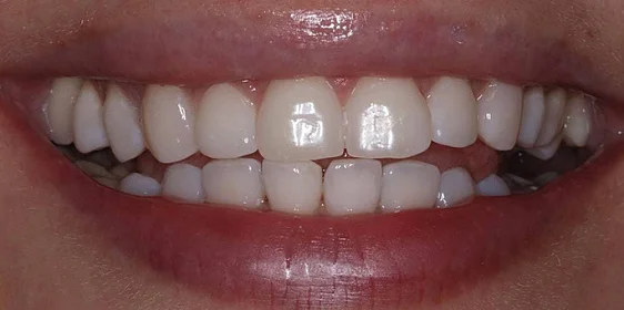
Исправление мезиального прикуса с помощью элайнеров Invisalign и минивинтов Исправление мезиального прикуса с помощью элайнеров Invisalign и минивинтов
Исправление мезиального прикуса с помощью элайнеров Invisalign и минивинтов
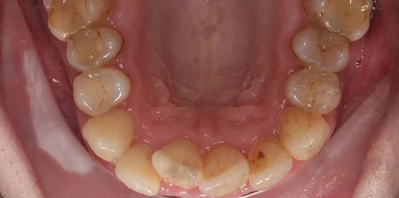
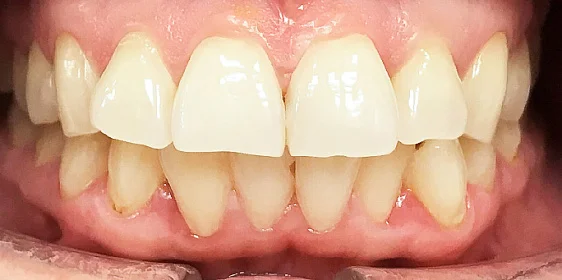
Устранение бипротрузии верхних и нижних резцов Устранение бипротрузии верхних и нижних резцов
Устранение бипротрузии верхних и нижних резцов
Лечение ретрузионного наклона верхних резцов с последующей реставрацией Лечение ретрузионного наклона верхних резцов с последующей реставрацией
Лечение ретрузионного наклона верхних резцов с последующей реставрацией
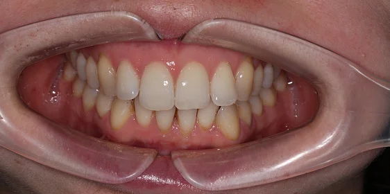
Лечение дистального прикуса с последующим ретенционным периодом Лечение дистального прикуса с последующим ретенционным периодом
Лечение дистального прикуса с последующим ретенционным периодом
Исправление одностороннего дистального прикуса Исправление одностороннего дистального прикуса
Исправление одностороннего дистального прикуса
Оставьте заявку на запись на бесплатную консультацию ортодонта
В консультацию входит 3D-диагностика, визуализация вашей новой улыбки, индивидуальный план лечения, расчёт стоимости «под ключ».
Нажимая на кнопку «Бесплатная консультация», вы соглашаетесь с политикой конфиденциальности.
Оставьте заявку на запись на бесплатную консультацию ортодонта