Работы
Whatsapp недоступен в РФ. Продолжим общение в телеграмме? Связаться

Работы


Лечение дистального прикуса с последующим ретенционным периодом Лечение дистального прикуса с последующим ретенционным периодом
Лечение дистального прикуса с последующим ретенционным периодом
Исправление одностороннего дистального прикуса Исправление одностороннего дистального прикуса
Исправление одностороннего дистального прикуса
Исправление фронтальной группы зубов капами Инвизилайн Исправление фронтальной группы зубов капами Инвизилайн
Исправление фронтальной группы зубов капами Инвизилайн
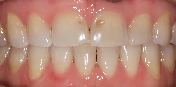
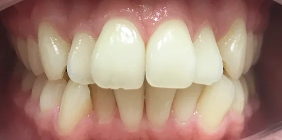
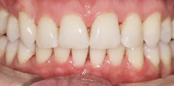
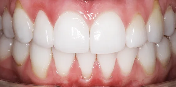
Улучшение эстетики верхних зубов после ортодонтического лечения Улучшение эстетики верхних зубов после ортодонтического лечения
Улучшение эстетики верхних зубов после ортодонтического лечения
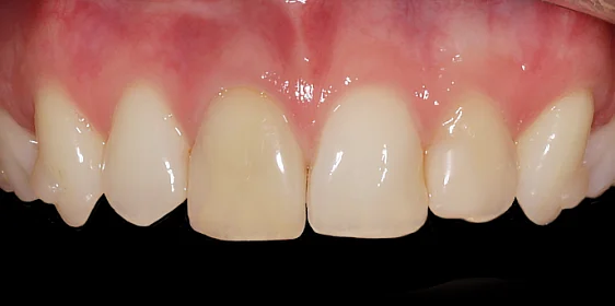
Расширение и выравнивание верхнего и нижнего зубных рядов Расширение и выравнивание верхнего и нижнего зубных рядов
Расширение и выравнивание верхнего и нижнего зубных рядов
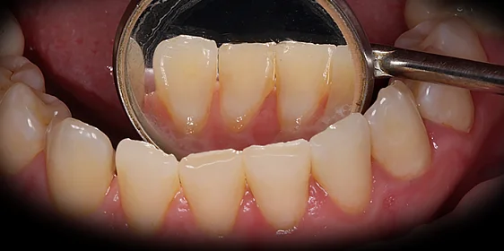
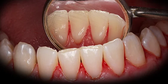
Снятие зубных отложений с помощью ультразвука и аппарата Air-Flow Снятие зубных отложений с помощью ультразвука и аппарата Air-Flow
Снятие зубных отложений с помощью ультразвука и аппарата Air-Flow
Удаление камней и профессиональная гигиена для последующего лечения кариеса Удаление камней и профессиональная гигиена для последующего лечения кариеса
Удаление камней и профессиональная гигиена для последующего лечения кариеса
Ортодонтическая подготовка зубов к предстоящим ортопедии и имплантации Ортодонтическая подготовка зубов к предстоящим ортопедии и имплантации
Ортодонтическая подготовка зубов к предстоящим ортопедии и имплантации
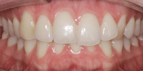
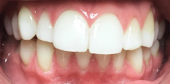
Исправление глубокого перекрытия зубов без брекетов Исправление глубокого перекрытия зубов без брекетов
Исправление глубокого перекрытия зубов без брекетов
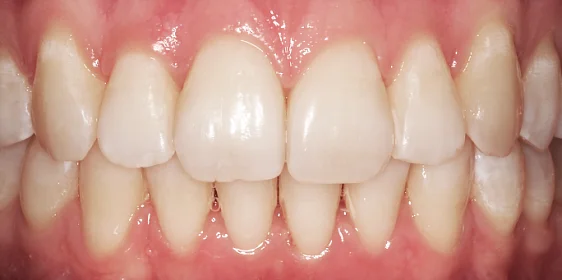
Нормализация смыкания и устранение скученности Нормализация смыкания и устранение скученности
Нормализация смыкания и устранение скученности
Оставьте заявку на запись на бесплатную консультацию ортодонта
В консультацию входит 3D-диагностика, визуализация вашей новой улыбки, индивидуальный план лечения, расчёт стоимости «под ключ».
Нажимая на кнопку «Бесплатная консультация», вы соглашаетесь с политикой конфиденциальности.
Оставьте заявку на запись на бесплатную консультацию ортодонта