Работы
Whatsapp недоступен в РФ. Продолжим общение в телеграмме? Связаться

Работы


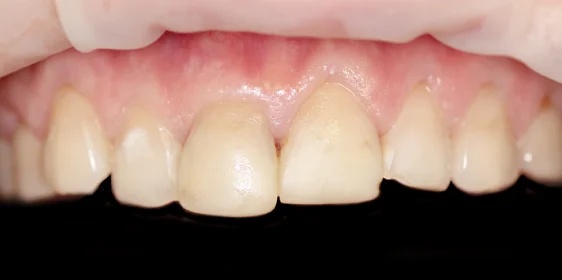
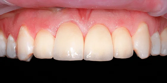
Подготовка зубных рядов к последующей установке виниров Подготовка зубных рядов к последующей установке виниров
Подготовка зубных рядов к последующей установке виниров
Устранение протрузии верхних резцов Устранение протрузии верхних резцов
Устранение протрузии верхних резцов
Исправление глубокого дистального прикуса Исправление глубокого дистального прикуса
Исправление глубокого дистального прикуса
Лечение прикуса с последующей ортопедией верхних зубов Лечение прикуса с последующей ортопедией верхних зубов
Лечение прикуса с последующей ортопедией верхних зубов
Исправление прикуса элайнерами Инвизилайн Исправление прикуса элайнерами Инвизилайн
Исправление прикуса элайнерами Инвизилайн
Выравнивание зубных рядов элайнерами Invisalign Выравнивание зубных рядов элайнерами Invisalign
Выравнивание зубных рядов элайнерами Invisalign
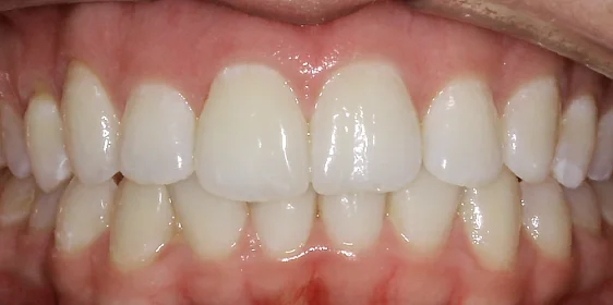
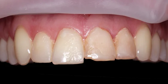
Протезирование зубов верхней челюсти винирами Протезирование зубов верхней челюсти винирами
Протезирование зубов верхней челюсти винирами
Устранение эстетического дефекта винирами Устранение эстетического дефекта винирами
Устранение эстетического дефекта винирами
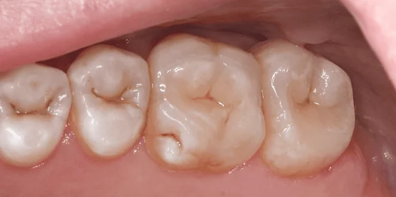
Восстановление эстетики с помощью виниров и вкладок (часть 2) Восстановление эстетики с помощью виниров и вкладок (часть 2)
Восстановление эстетики с помощью виниров и вкладок (часть 2)
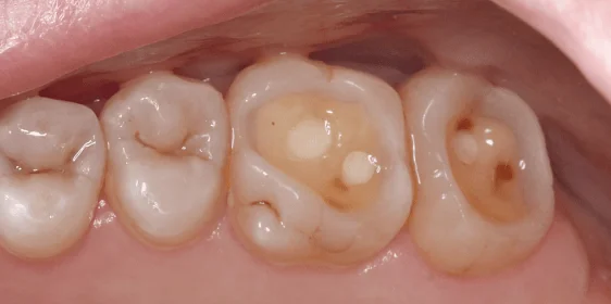
Восстановление эстетики с помощью виниров и вкладок (часть 1) Восстановление эстетики с помощью виниров и вкладок (часть 1)
Восстановление эстетики с помощью виниров и вкладок (часть 1)
Оставьте заявку на запись на бесплатную консультацию ортодонта
В консультацию входит 3D-диагностика, визуализация вашей новой улыбки, индивидуальный план лечения, расчёт стоимости «под ключ».
Нажимая на кнопку «Бесплатная консультация», вы соглашаетесь с политикой конфиденциальности.
Оставьте заявку на запись на бесплатную консультацию ортодонта