Работы

Работы


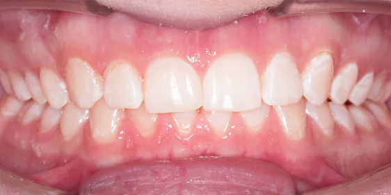
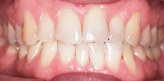
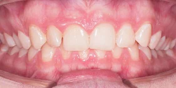
Улучшение эстетики верхних зубов после ортодонтического лечения Улучшение эстетики верхних зубов после ортодонтического лечения
Улучшение эстетики верхних зубов после ортодонтического лечения
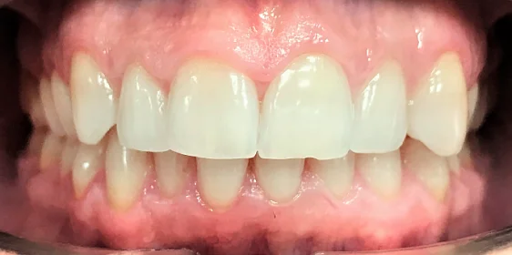
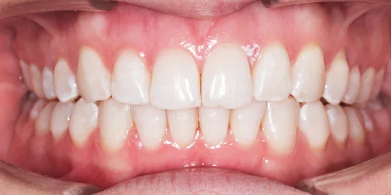
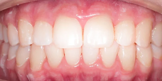
Расширение и выравнивание верхнего и нижнего зубных рядов Расширение и выравнивание верхнего и нижнего зубных рядов
Расширение и выравнивание верхнего и нижнего зубных рядов
Снятие зубных отложений с помощью ультразвука и аппарата Air-Flow Снятие зубных отложений с помощью ультразвука и аппарата Air-Flow
Снятие зубных отложений с помощью ультразвука и аппарата Air-Flow
Удаление камней и профессиональная гигиена для последующего лечения кариеса Удаление камней и профессиональная гигиена для последующего лечения кариеса
Удаление камней и профессиональная гигиена для последующего лечения кариеса
Ортодонтическая подготовка зубов к предстоящим ортопедии и имплантации Ортодонтическая подготовка зубов к предстоящим ортопедии и имплантации
Ортодонтическая подготовка зубов к предстоящим ортопедии и имплантации
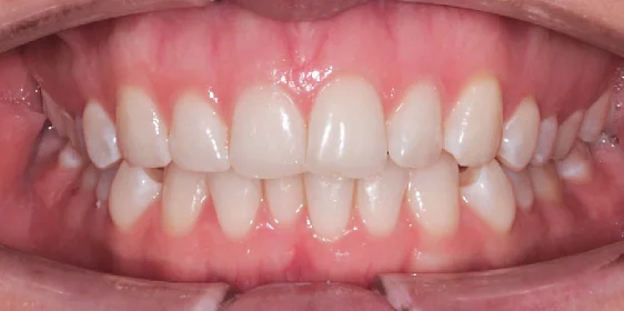
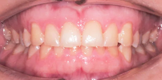
Исправление глубокого перекрытия зубов без брекетов Исправление глубокого перекрытия зубов без брекетов
Исправление глубокого перекрытия зубов без брекетов
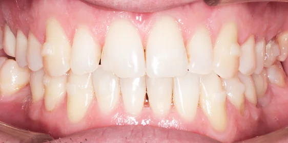
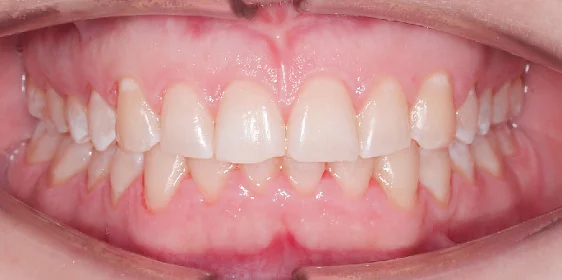
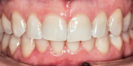
Нормализация смыкания и устранение скученности Нормализация смыкания и устранение скученности
Нормализация смыкания и устранение скученности
Подготовка зубных рядов к последующей установке виниров Подготовка зубных рядов к последующей установке виниров
Подготовка зубных рядов к последующей установке виниров
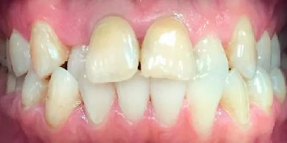
Устранение протрузии верхних резцов Устранение протрузии верхних резцов
Устранение протрузии верхних резцов
Оставьте заявку на запись на бесплатную консультацию ортодонта
В консультацию входит 3D-диагностика, визуализация вашей новой улыбки, индивидуальный план лечения, расчёт стоимости «под ключ».
Нажимая на кнопку «Бесплатная консультация», вы соглашаетесь с политикой конфиденциальности.
Оставьте заявку на запись на бесплатную консультацию ортодонта