Исправили неправильный прикус на элайнерах Star Smile за 25 месяцев

Исправили неправильный прикус на элайнерах Star Smile за 25 месяцев

У меня похожий случай
Итоги по кейсу
Пол
Женский
Возраст
34 года
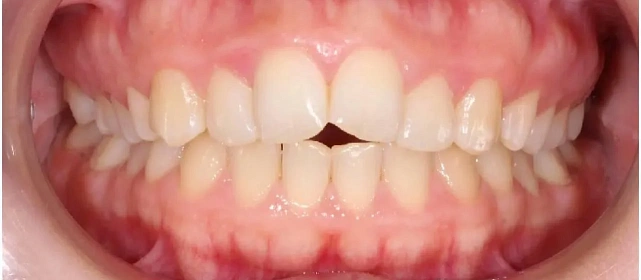
Жалоба
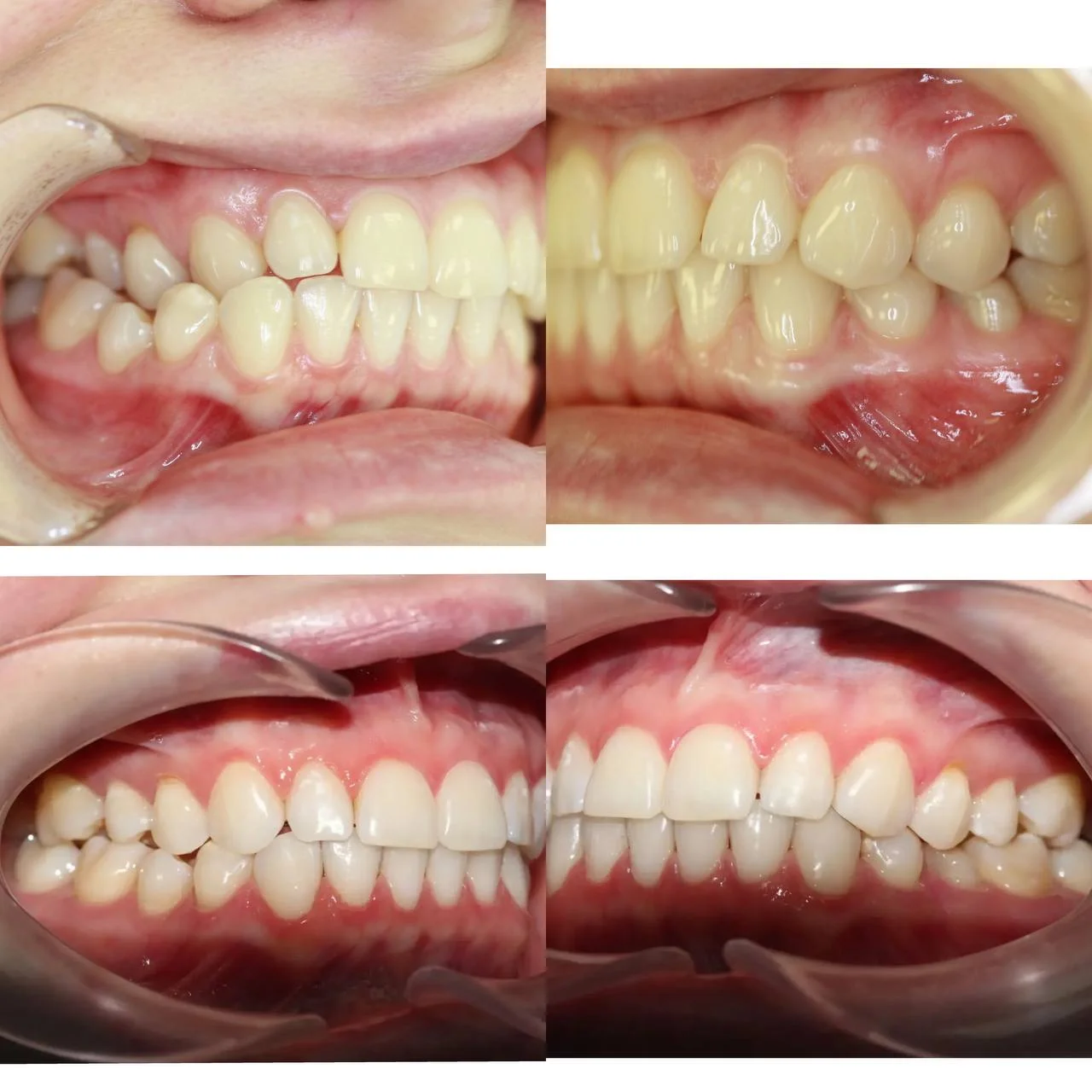
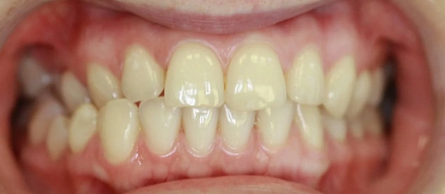
Неровные зубы, неправильный прикус.
Диагностика
Нарушение соотношения челюстей и неправильное положение зубов — ряды смыкались некорректно, зубы стояли со смещением.
План лечения
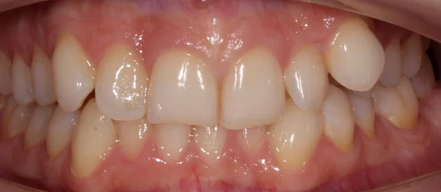
Прозрачные элайнеры Star Smile на обе челюсти. Выровнять зубы, исправить прикус, подготовить к ортопедическому лечению. Срок — около 2 лет.
Ход лечения
Лечение заняло 25 месяцев (февраль 2024 — март 2026). Капы менялись каждые 1–2 недели, визиты к ортодонту для контроля прогресса и выдачи новых наборов.
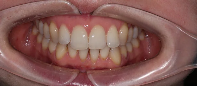
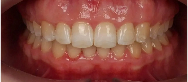
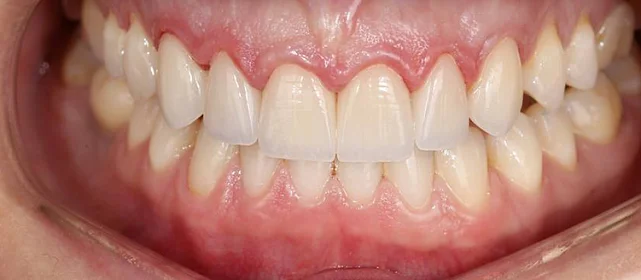
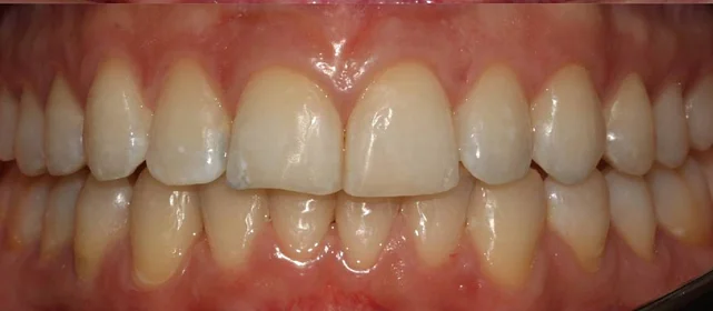
Результат
Прикус исправлен, зубы выровнены. Установлены несъёмные ретейнеры на обе челюсти. После завершения ортопедического этапа будут изготовлены ретенционные капы.

Дата публикации: 03.04.26

Фотографии опубликованы с согласия пациента

Проблема: Пациентка обратилась с двумя жалобами — неровные зубы и неправильный прикус. Зубные ряды смыкались некорректно, зубы стояли со смещением. Помимо выравнивания, в перспективе требовалось ортопедическое лечение, но проводить его до исправления прикуса смысла не было — сначала нужна была ровная база.
Решение: Поставили элайнеры Star Smile на обе челюсти. За 25 месяцев выровняли зубы и привели прикус в норму. Капы менялись каждые 1–2 недели, контрольные визиты — для отслеживания прогресса и выдачи новых наборов. После снятия элайнеров зафиксировали ретейнеры на обе челюсти. Ретенционные капы изготовят после завершения ортопедии — чтобы форма кап соответствовала окончательному контуру зубов.
Дьячкова Инна Владимировна
Стоматолог - ортодонт
Стаж более 11 лет
★★★★★ 5.0
Хочу консультацию
Отзыв пациента
Ну вот, два года позади! Инна Владимировна с самого начала предупредила, что после элайнеров нужна будет ещё ортопедия, и что капы для ретенции сделают уже после неё. То есть сразу был план на несколько шагов вперёд, и это подкупило — не люблю когда на каждом приёме что-то новое вылезает. Элайнеры носила исправно, к ним привыкла буквально за неделю. Сейчас зубы ровные, прикус на месте, осталось дойти до ортопеда и закрыть оставшееся.
Комментарий врача
Лечение строилось с учётом последующей ортопедии — это влияло и на план перемещений, и на последовательность этапов. Ретенционные капы сознательно отложили до завершения ортопедического этапа: если изготовить их сейчас, после протезирования контур зубов изменится, и капы придётся переделывать. Элайнеры Star Smile отработали за 25 месяцев, прикус стабилен.
Дьячкова Инна Владимировна
Стоматолог - ортодонт
Оставьте заявку на запись на бесплатную консультацию ортодонта
В консультацию входит 3D-диагностика, визуализация вашей новой улыбки, индивидуальный план лечения, расчёт стоимости «под ключ».
Нажимая на кнопку «Бесплатная консультация», вы даёте согласие на обработку персональных данных.
Оставьте заявку на запись на бесплатную консультацию ортодонта