Скученность, сужение челюстей и открытый прикус — лечение на элайнерах Click за 9 месяцев

Скученность, сужение челюстей и открытый прикус — лечение на элайнерах Click за 9 месяцев

У меня похожий случай
Итоги по кейсу
Пол
Женский
Возраст
40 лет
Жалоба
Пациентка пришла по направлению терапевта — сама жалоб не предъявляла. При осмотре ортодонт обнаружил проблемы, которые требовали коррекции.
Диагностика
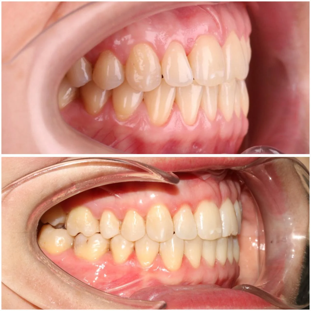
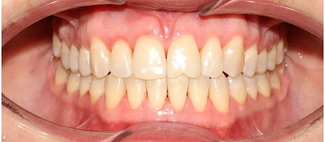
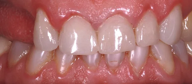
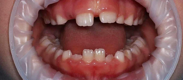
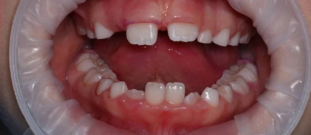
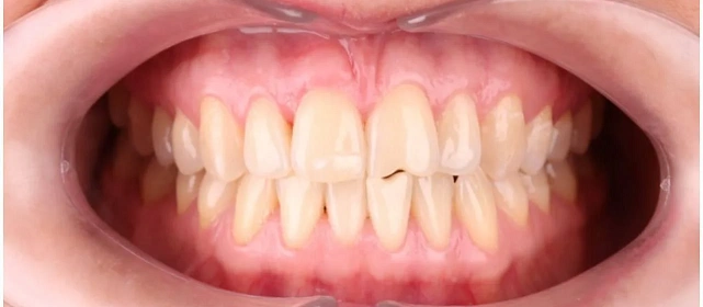
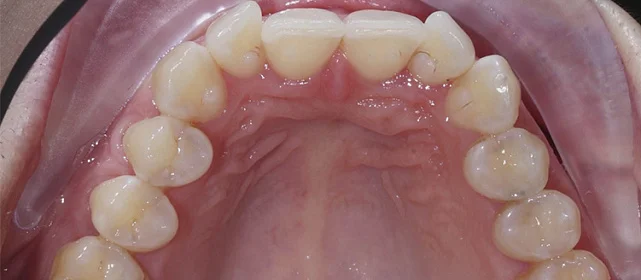
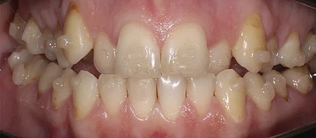
Обе челюсти сужены, передние зубы стояли скученно. Средние линии верхних и нижних зубов не совпадали. Тенденция к открытому прикусу — передние зубы не смыкались полностью. При этом клыки смыкались правильно (I класс по Энглю) — основная проблема в положении зубов, а не в соотношении челюстей.
План лечения
Прозрачные элайнеры Click на обе челюсти. Расширить зубные дуги, убрать скученность, выровнять средние линии, скорректировать тенденцию к открытому прикусу. Основной набор — 20 кап. Срок — около 9 месяцев.
Ход лечения
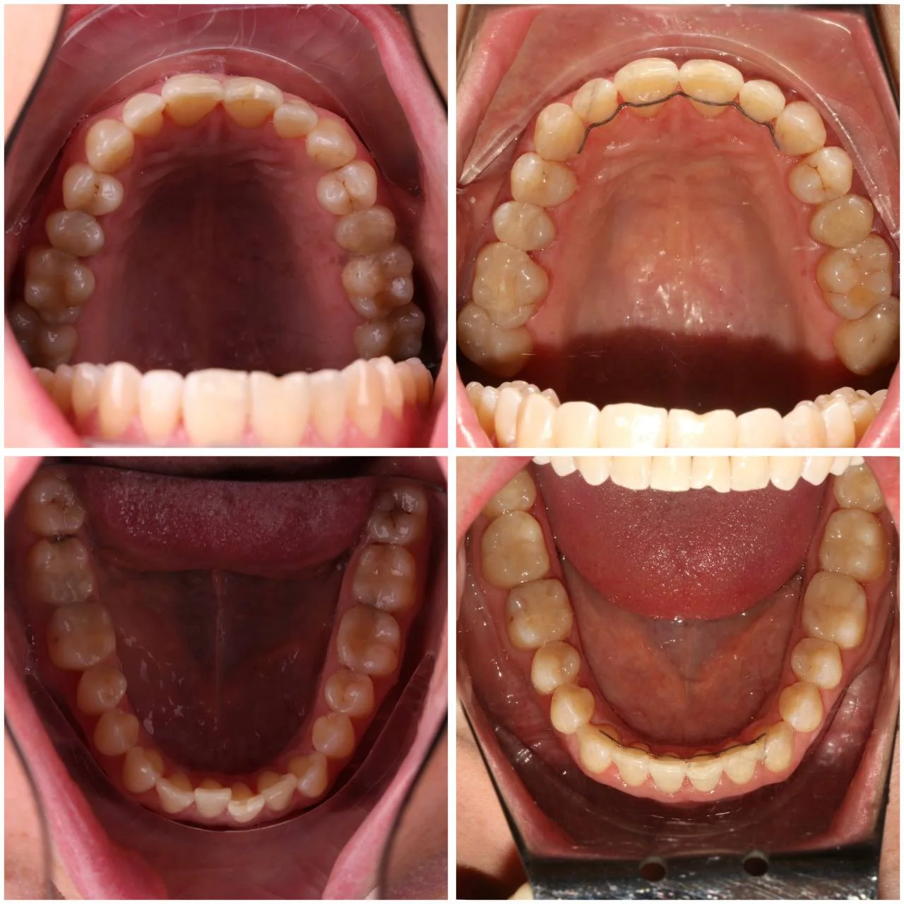
Лечение заняло 9 месяцев (январь 2025 — октябрь 2025). Основного набора из 20 кап хватило полностью — дозаказов не понадобилось. Перед ретенцией проведена профессиональная гигиена.
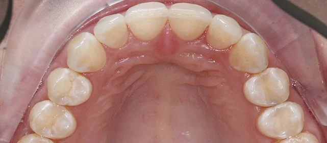
Результат
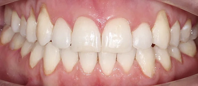
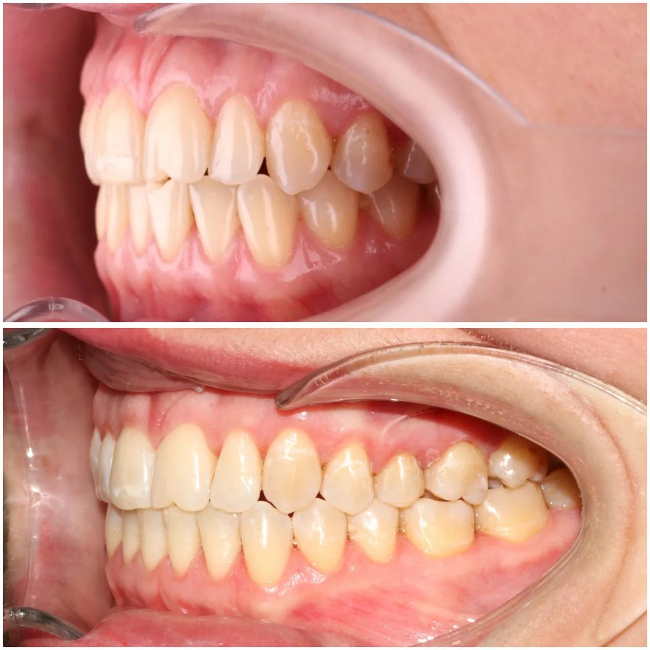
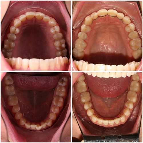
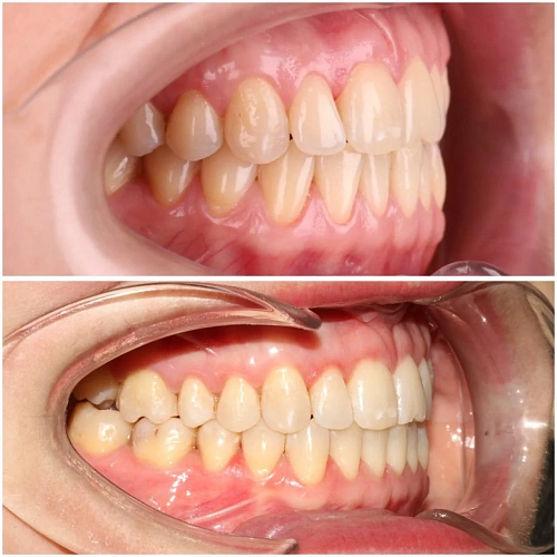
Зубы выровнены, скученность устранена, средние линии совпадают, прикус нормализован. Установлены несъёмные ретейнеры на обе челюсти, сняты сканы для ретенционных кап. Пациентка направлена к ортопеду для консультации.

Дата публикации: 06.02.26

Фотографии опубликованы с согласия пациента

Проблема: Пациентка пришла не сама — её направил терапевт. Собственных жалоб не было, она не замечала проблем. Но при осмотре ортодонт обнаружил целый список: обе челюсти сужены, передние зубы стоят скученно, средние линии верхних и нижних зубов не совпадают, передние зубы не смыкаются полностью. Всё это пока не болело и не мешало — но со временем привело бы к неравномерному стиранию зубов и проблемам с суставом.
Решение: Поставили прозрачные элайнеры Click, всего 20 кап на обе челюсти. Хватило одного набора, без дозаказов. За 9 месяцев расширили зубные дуги, убрали скученность, выровняли средние линии, скорректировали тенденцию к открытому прикусу. Перед ретенцией провели профессиональную гигиену. Зафиксировали ретейнеры на обе челюсти, сняли сканы для ретенционных кап. Пациентка записана к ортопеду — но основная работа уже сделана.
Куканова Алена Витальевна
Стоматолог - ортодонт
Стаж более 5 лет
★★★★★ 4.9
Хочу консультацию
Отзыв пациента
Мне казалось, что с зубами всё нормально и ортодонту я вообще не собиралась, но терапевт на осмотре сказала, что стоит показаться. Выяснилось, что проблем хватает, просто я их не замечала. Капы носила 9 месяцев, никаких неудобств они не доставили. По итогу сами зубы не сильно изменились визуально, зато исчез перекос при улыбке, что сделало лицо пропорциональным. Ну, кроме того, что потенциально зубы теперь еще и лечить пореже можно будет.
Комментарий врача
Хороший пример того, зачем нужен междисциплинарный подход. Пациентка не жаловалась, но терапевт увидела признаки и направила ко мне. При осмотре нашли сужение обеих челюстей, скученность, несовпадение средних линий и тенденцию к открытому прикусу. Всё это — четыре проблемы, решённые одним набором из 20 кап за 9 месяцев. Без дозаказов. Ключевой фактор — пациентка носила капы дисциплинированно, ровно столько, сколько нужно.
Куканова Алена Витальевна
Стоматолог - ортодонт
Оставьте заявку на запись на бесплатную консультацию ортодонта
В консультацию входит 3D-диагностика, визуализация вашей новой улыбки, индивидуальный план лечения, расчёт стоимости «под ключ».
Нажимая на кнопку «Бесплатная консультация», вы даёте согласие на обработку персональных данных.
Оставьте заявку на запись на бесплатную консультацию ортодонта