Исправление дистопии зубов

Исправление дистопии зубов

Дата публикации: 01.04.26

Фотографии опубликованы с согласия пациента

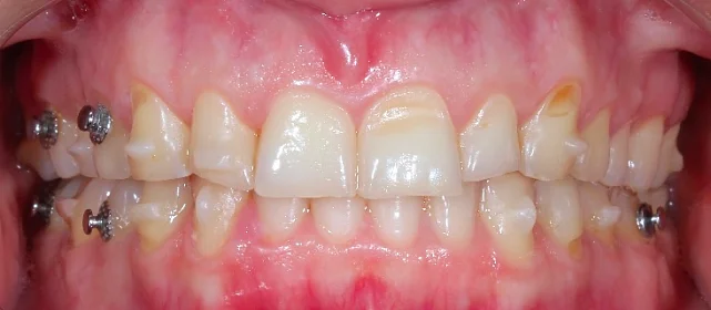
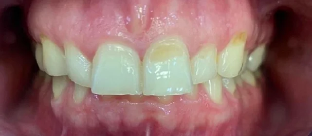
Проблема: Пациент обратился с жалобой на тремы, диастемы, высокое положение клыков на верхней челюсти.
Диагноз: перекрестный прикус, дистопия зубов
Куканова Алена Витальевна
Стоматолог - ортодонт
Стаж более 5 лет
★★★★★ 4.9
Хочу консультацию
Оставьте заявку на запись на бесплатную консультацию ортодонта
В консультацию входит 3D-диагностика, визуализация вашей новой улыбки, индивидуальный план лечения, расчёт стоимости «под ключ».
Нажимая на кнопку «Бесплатная консультация», вы соглашаетесь с политикой конфиденциальности.
Оставьте заявку на запись на бесплатную консультацию ортодонта