Исправление прикуса элайнерами Инвизилайн

Исправление прикуса элайнерами Инвизилайн

Дата публикации: 01.04.26

Фотографии опубликованы с согласия пациента

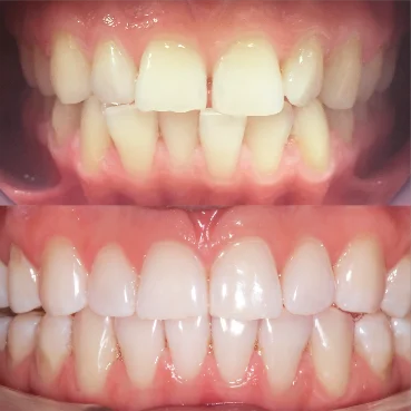
Проблема: Прямое смыкание (в норме верхние зубы перекрывают нижние на 1/3), сужение зубных дуг, скученность зубов верхней и нижней челюсти.
Диагноз: прямое смыкание, сужение зубных дуг, скученность
Шевченко Алина Борисовна
Стоматолог - ортодонт
Стаж более 4 лет
★★★★★ 5.0
Хочу консультацию
Комментарий врача
Планируется замена старых пломб на вкладки в боковом отделе (ортопедическая часть лечения)
Шевченко Алина Борисовна
Стоматолог - ортодонт
Оставьте заявку на запись на бесплатную консультацию ортодонта
В консультацию входит 3D-диагностика, визуализация вашей новой улыбки, индивидуальный план лечения, расчёт стоимости «под ключ».
Нажимая на кнопку «Бесплатная консультация», вы соглашаетесь с политикой конфиденциальности.
Оставьте заявку на запись на бесплатную консультацию ортодонта