Скученность зубов — выравнивание зубов на элайнерах Click Aligners

Скученность зубов — выравнивание зубов на элайнерах Click Aligners

У меня похожий случай
Итоги по кейсу
Пол
Женский
Возраст
27 лет
Жалоба
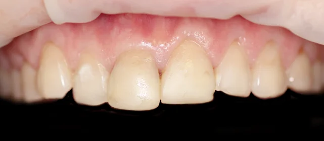
Неровные зубы.
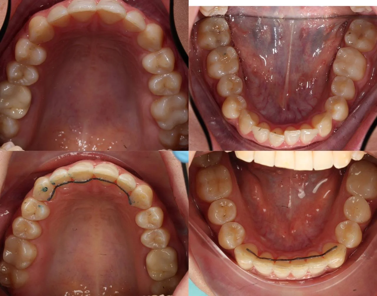
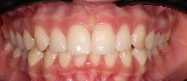
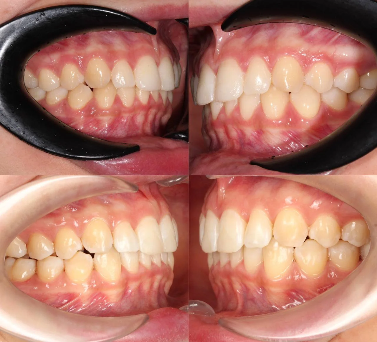
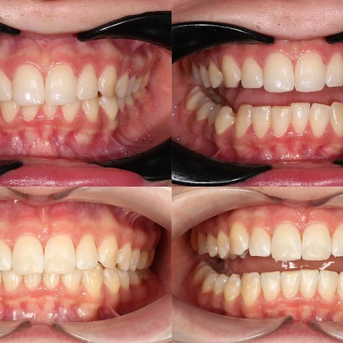
Диагностика
Обе челюсти сужены — зубам не хватало места, они стояли скученно на верхней и нижней челюсти. Нарушена кривая смыкания — жевательные зубы были на разной высоте.
План лечения
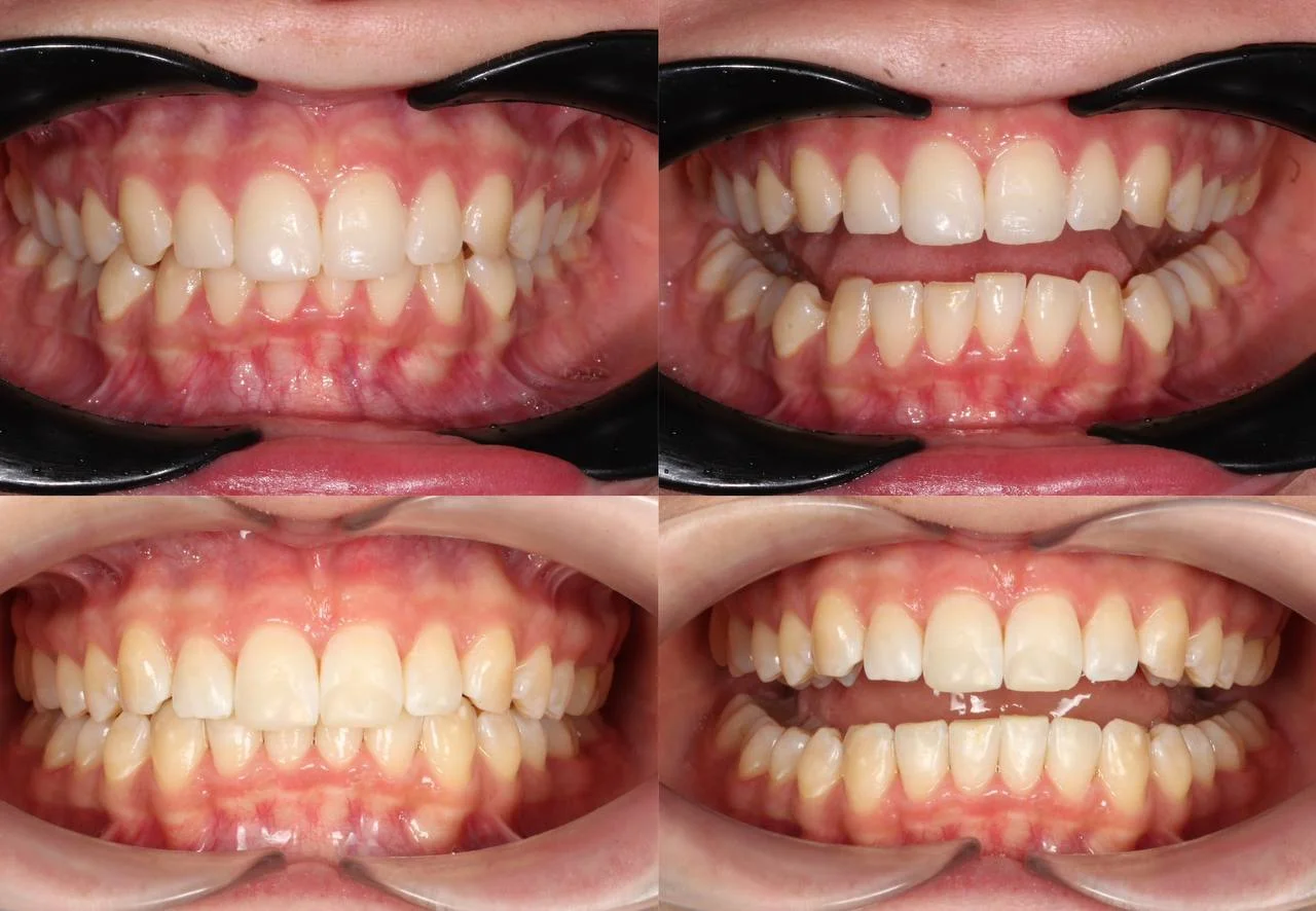
Прозрачные элайнеры Click на обе челюсти. Расширить зубные дуги, убрать скученность, выровнять линию смыкания. Основной набор — 32 капы. Срок — около 2 лет.
Ход лечения
Лечение заняло 30 месяцев (август 2023 — февраль 2026). Понадобились три дополнительных набора: 30, 10 и 10 кап — итого 82 капы. Пациентка живёт за рубежом, приезжала на визиты — что иногда влияло на частоту контроля и сроки. На ретенцию приехала отдельно.
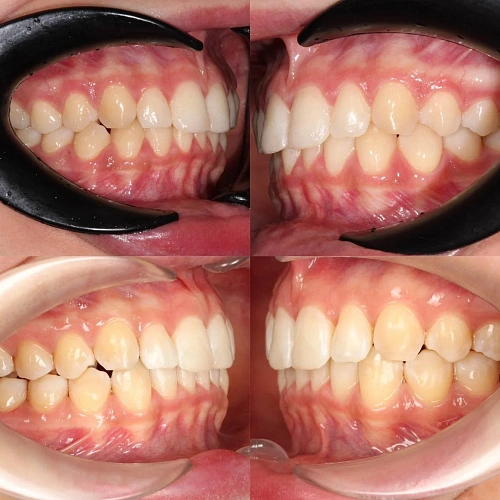
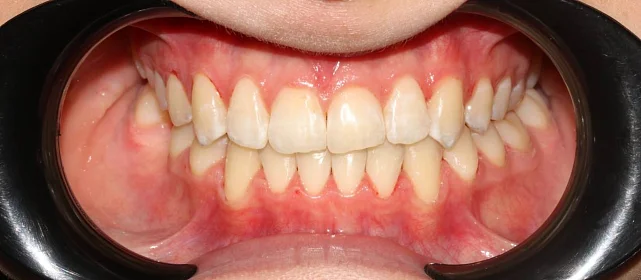
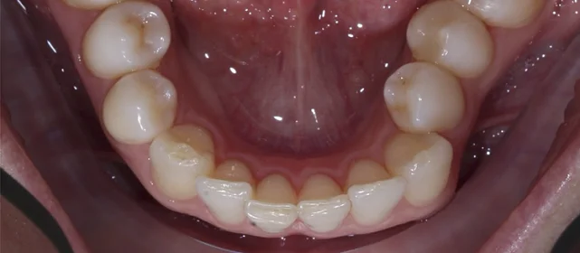
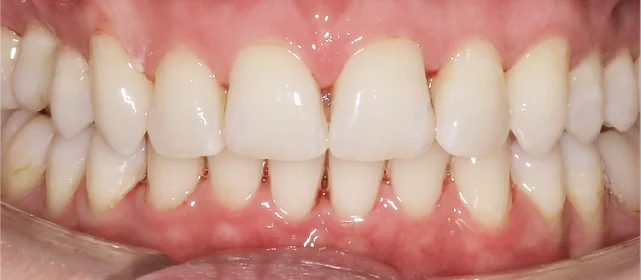
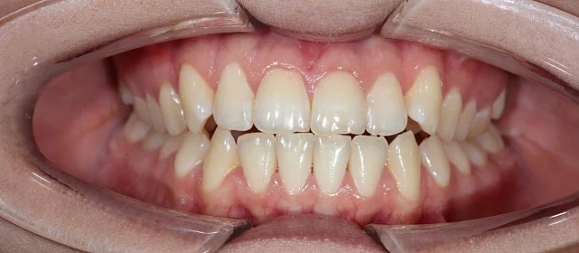
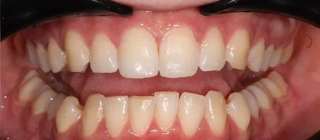
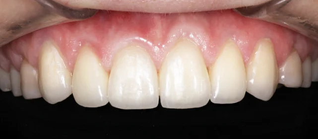
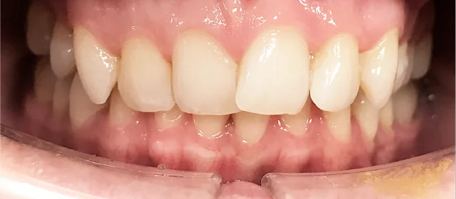
Результат
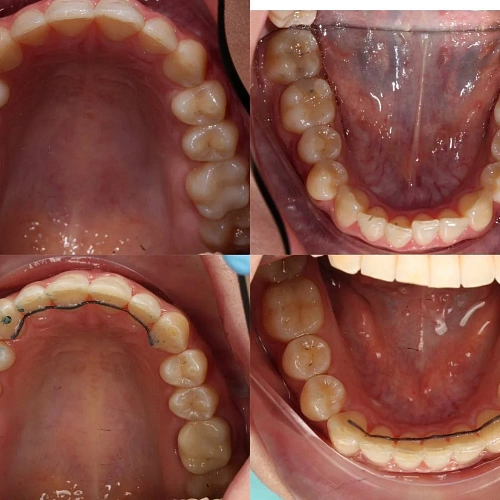
Зубы выровнены, скученность устранена, линия смыкания нормализована. Установлены несъёмные ретейнеры на обе челюсти, сняты слепки для ретенционных кап.

Дата публикации: 09.04.26

Фотографии опубликованы с согласия пациента

Проблема: Пациентка живёт за рубежом и обратилась с жалобами на неровные зубы. При осмотре обнаружили сужение обеих челюстей, скученность на верхней и нижней, а также деформацию кривой смыкания — жевательные зубы стояли на разной высоте, из-за чего нагрузка при еде распределялась неравномерно. Дополнительная сложность — пациентка не могла приезжать на визиты часто.
Решение: Поставили элайнеры Click на обе челюсти. Начали с 32 кап, но случай потребовал три дозаказа: 30, 10 и 10 кап — итого 82 капы за 30 месяцев. Количество дозаказов объясняется и сложностью случая (скученность плюс деформация кривой Шпее), и тем, что контрольные визиты были реже обычного из-за проживания за границей. Тем не менее результат достигнут: зубы ровные, смыкание в норме. На ретенцию пациентка приехала отдельно — зафиксировали ретейнеры на обе челюсти, сняли слепки для ретенционных кап.
Куканова Алена Витальевна
Стоматолог - ортодонт
Стаж более 5 лет
★★★★★ 4.9
Хочу консультацию
Отзыв пациента
Я живу не в России, поэтому прилетать часто не получалось. Врач это учла и выстроила лечение так, чтобы между визитами проходило больше времени. Дозаказов было три — каждый раз ждала новые капы и начинала заново. Это растягивает процесс, но я понимала, что мой случай непростой. Зато на ретенцию прилетела и увидела финальный результат — зубы ровные, кайф.
Комментарий врача
Сложный случай: скученность на обеих челюстях плюс деформация кривой Шпее — жевательные зубы на разной высоте. Дополнительный вызов — пациентка живёт за рубежом, визиты реже, контроль сложнее. Три дозаказа — много, но каждый был обоснован: основной набор расширил дуги и убрал основную скученность, дозаказы последовательно довели смыкание до нормы. 82 капы за 30 месяцев — результат получен.
Куканова Алена Витальевна
Стоматолог - ортодонт
Оставьте заявку на запись на бесплатную консультацию ортодонта
В консультацию входит 3D-диагностика, визуализация вашей новой улыбки, индивидуальный план лечения, расчёт стоимости «под ключ».
Нажимая на кнопку «Бесплатная консультация», вы даёте согласие на обработку персональных данных.
Оставьте заявку на запись на бесплатную консультацию ортодонта