Арбат
Сокольники
Поиск
Пн-Вс с 9:00 до 21:00
+7 (499) 681-95-69
Обратный звонок
Онлайн запись
Услуги
Врачи
Цены
Работы
Акции
Блог
О нас
Новости
Пресса о нас
Отзывы
Контакты
Я пациент
Главная
Работы
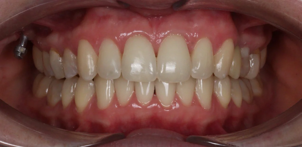
Лечение аномалии соотношения зубных дуг элайнерами
Лечение аномалии соотношения зубных дуг элайнерами
У меня похожий случай
Дата публикации: 01.04.26
Фотографии опубликованы с согласия пациента
Джурабаева Ситорахон Акбаровна
Стоматолог - ортодонт
Стаж более 5 лет
★★★★★
4.9
Хочу консультацию
Другие работы
Ортодонтическое лечение на системе StarSmile
Врач:
Дьячкова Инна Владимировна
Подробнее
Замена старых композитных реставраций и металлокерамических коронок на керамические накладки и коронки
Врач:
Мирзоев Фарзон Мирославович
Подробнее
Лечение прикуса на брекет-системе
Врач:
Данилова Виктория Юрьевна
Подробнее
Исправление мезиального прикуса на брекетах
Врач:
Арутюнова Екатерина Ашотовна
Подробнее
Эстетическая реставрация передних зубов
Врач:
Магомедова Милана Рамазановна
Подробнее
Оставьте заявку на запись на бесплатную консультацию ортодонта
В консультацию входит 3D-диагностика, визуализация вашей новой улыбки, индивидуальный план лечения, расчёт стоимости «под ключ».
Нажимая на кнопку «Бесплатная консультация», вы даёте согласие на
обработку персональных данных
.
Услуги
Врачи
Цены
Работы
Акции
Блог
О нас
Новости
Пресса о нас
Отзывы
Контакты
Я пациент
Чат-бот для пациентов
Telegram
8 (499) 681-95-69