Арбат
Сокольники
Поиск
Пн-Вс с 9:00 до 21:00
+7 (499) 681-95-69
Обратный звонок
Онлайн запись
Услуги
Врачи
Цены
Работы
Акции
Блог
О нас
Новости
Пресса о нас
Отзывы
Контакты
Я пациент
Главная
Работы
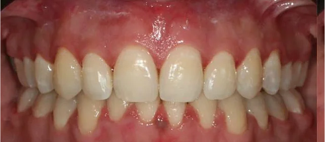
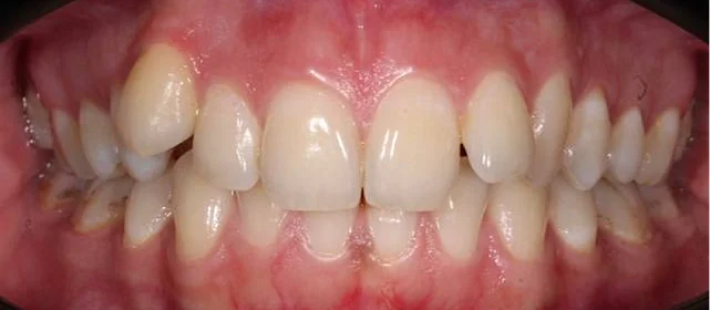
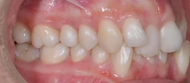
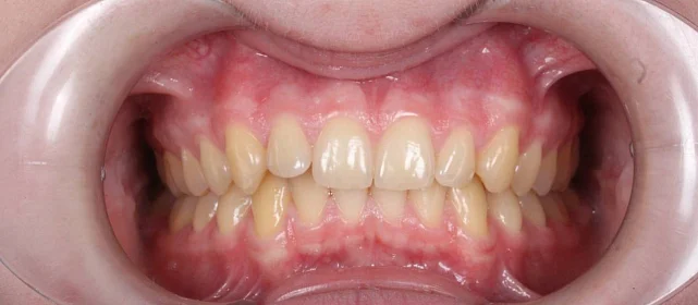
Ортодонтическое лечение на брекетах
Ортодонтическое лечение на брекетах
У меня похожий случай
Дата публикации: 01.04.26
Фотографии опубликованы с согласия пациента
Золотарева Алина Анатольевна
Стоматолог - ортодонт
Стаж более 3 лет
★★★★★
4.9
Хочу консультацию
Другие работы
Ортодонтическое лечение на брекет-системе №4
Врач:
Дьячкова Инна Владимировна
Подробнее
Эстетическая реставрация жевательной группы зубов
Врач:
Кламм Алиса Вячеславовна
Подробнее
Ортодонтическое лечение на брекет-системе №2
Врач:
Дьячкова Инна Владимировна
Подробнее
Эстетическая реставрация
Врач:
Кламм Алиса Вячеславовна
Подробнее
"Голливудская улыбка" с помощью виниров
Врач:
Мирзоев Фарзон Мирославович
Подробнее
Оставьте заявку на запись на бесплатную консультацию ортодонта
В консультацию входит 3D-диагностика, визуализация вашей новой улыбки, индивидуальный план лечения, расчёт стоимости «под ключ».
Нажимая на кнопку «Бесплатная консультация», вы соглашаетесь с
политикой конфиденциальности
.
Услуги
Врачи
Цены
Работы
Акции
Блог
О нас
Новости
Пресса о нас
Отзывы
Контакты
Я пациент
Чат-бот для пациентов
Telegram
8 (499) 681-95-69