Арбат
Сокольники
Поиск
Пн-Вс с 9:00 до 21:00
+7 (499) 681-95-69
Обратный звонок
Онлайн запись
Услуги
Врачи
Цены
Работы
Акции
Блог
О нас
Новости
Пресса о нас
Отзывы
Контакты
Я пациент
Главная
Работы
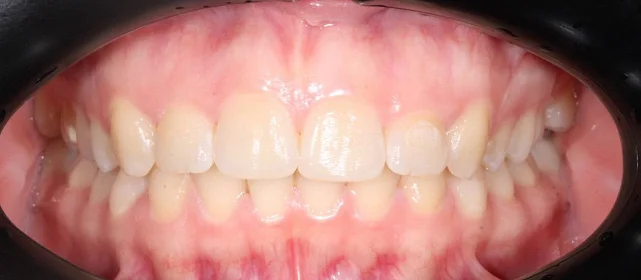
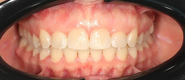
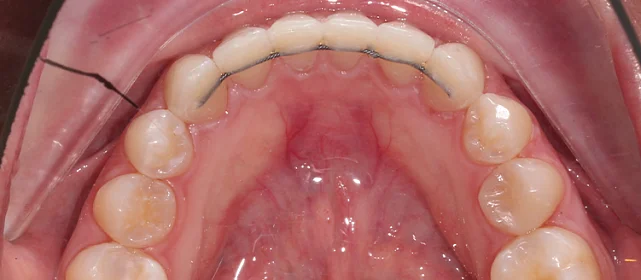
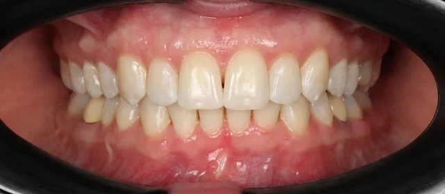
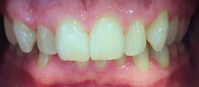
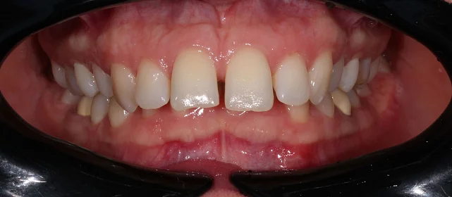
Лечение cкученности на нижней челюсти на элайнерах
Лечение cкученности на нижней челюсти на элайнерах
У меня похожий случай
Дата публикации: 01.04.26
Фотографии опубликованы с согласия пациента
Дьячкова Инна Владимировна
Стоматолог - ортодонт
Стаж более 11 лет
★★★★★
5.0
Хочу консультацию
Другие работы
Ортодонтическая подготовка зубов к предстоящим ортопедии и имплантации
Врач:
Сантросян Анна Айказовна
Подробнее
Смещение клыков и моляров по 2 классу по Энглу справа и слева
Врач:
Киргуева Дзерасса Валерьевна
Подробнее
Коррекция скученности на элайнерах
Врач:
Арутюнова Екатерина Ашотовна
Подробнее
Ортодонтическое лечение №2
Врач:
Дмитриева Елена Сергеевна
Подробнее
Эстетическая реставрация задних зубов
Врач:
Кламм Алиса Вячеславовна
Подробнее
Оставьте заявку на запись на бесплатную консультацию ортодонта
В консультацию входит 3D-диагностика, визуализация вашей новой улыбки, индивидуальный план лечения, расчёт стоимости «под ключ».
Нажимая на кнопку «Бесплатная консультация», вы соглашаетесь с
политикой конфиденциальности
.
Услуги
Врачи
Цены
Работы
Акции
Блог
О нас
Новости
Пресса о нас
Отзывы
Контакты
Я пациент
Чат-бот для пациентов
Telegram
8 (499) 681-95-69