Арбат
Сокольники
Поиск
Пн-Вс с 9:00 до 21:00
+7 (499) 681-95-69
Обратный звонок
Онлайн запись
Услуги
Врачи
Цены
Работы
Акции
Блог
О нас
Новости
Пресса о нас
Отзывы
Контакты
Я пациент
Главная
Работы
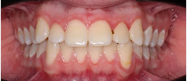
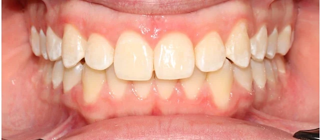
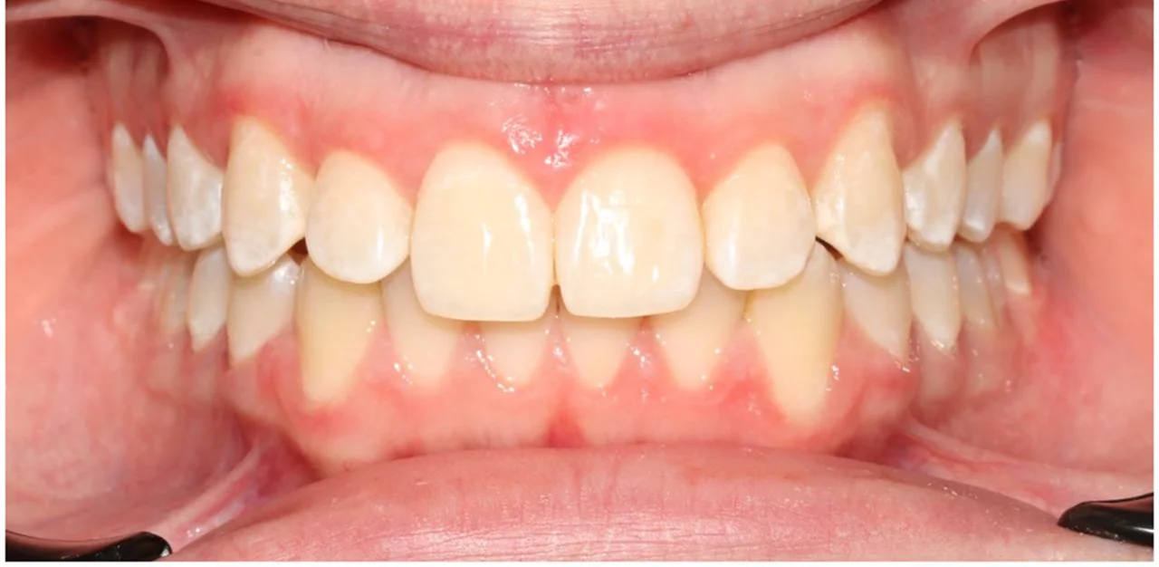
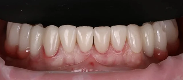
Ортодонтическое лечение на системе Click №4
Ортодонтическое лечение на системе Click №4
У меня похожий случай
Дата публикации: 01.04.26
Фотографии опубликованы с согласия пациента
Дьячкова Инна Владимировна
Стоматолог - ортодонт
Стаж более 11 лет
★★★★★
5.0
Хочу консультацию
Другие работы
Лечение ретрузионного наклона верхних резцов с последующей реставрацией
Врач:
Арутюнова Екатерина Ашотовна
Подробнее
Реабилитация возрастных пациентов
Врач:
Толова Саида Артуровна
Подробнее
Завершающий этап лечения скученности и обратного перекрытия
Врач:
Арутюнова Екатерина Ашотовна
Подробнее
Скученность, сужение челюстей и открытый прикус — лечение на элайнерах Click за 9 месяцев
Врач:
Куканова Алена Витальевна
Подробнее
Полное протезирование нижнего ряда, установка виниров
Врач:
Мирзоев Фарзон Мирославович
Подробнее
Оставьте заявку на запись на бесплатную консультацию ортодонта
В консультацию входит 3D-диагностика, визуализация вашей новой улыбки, индивидуальный план лечения, расчёт стоимости «под ключ».
Нажимая на кнопку «Бесплатная консультация», вы соглашаетесь с
политикой конфиденциальности
.
Услуги
Врачи
Цены
Работы
Акции
Блог
О нас
Новости
Пресса о нас
Отзывы
Контакты
Я пациент
Чат-бот для пациентов
Telegram
8 (499) 681-95-69