Арбат
Сокольники
Поиск
Пн-Вс с 9:00 до 21:00
+7 (499) 681-95-69
Обратный звонок
Онлайн запись
Услуги
Врачи
Цены
Работы
Акции
Блог
О нас
Новости
Пресса о нас
Отзывы
Контакты
Я пациент
Главная
Работы
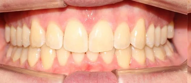
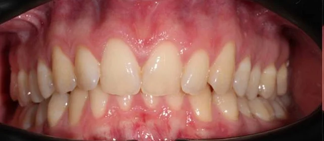
Лечение кариеса зубов
Лечение кариеса зубов
У меня похожий случай
Дата публикации: 01.04.26
Фотографии опубликованы с согласия пациента
Толова Саида Артуровна
Стоматолог - терапевт
Стаж более 8 лет
★★★★★
5.0
Хочу консультацию
Другие работы
Исправление скученности
Врач:
Джурабаева Ситорахон Акбаровна
Подробнее
Ортодонтическое лечение на элайнерах №2
Врач:
Дьячкова Инна Владимировна
Подробнее
Скученность и сужение челюстей вылечили на брекетах всего за 15 месяцев
Врач:
Данилова Виктория Юрьевна
Подробнее
Отбеливание зубов системой Zoom 4
Врач:
Кламм Алиса Вячеславовна
Подробнее
Установка ретейнеров на нижнюю и верхнюю челюсть
Врач:
Дьячкова Инна Владимировна
Подробнее
Оставьте заявку на запись на бесплатную консультацию ортодонта
В консультацию входит 3D-диагностика, визуализация вашей новой улыбки, индивидуальный план лечения, расчёт стоимости «под ключ».
Нажимая на кнопку «Бесплатная консультация», вы соглашаетесь с
политикой конфиденциальности
.
Услуги
Врачи
Цены
Работы
Акции
Блог
О нас
Новости
Пресса о нас
Отзывы
Контакты
Я пациент
Чат-бот для пациентов
Telegram
8 (499) 681-95-69