Лечение неправильного положения зубов на брекет-системе за 14 месяцев

Лечение неправильного положения зубов на брекет-системе за 14 месяцев

У меня похожий случай
Итоги по кейсу
Пол
Женский
Возраст
26 лет
Жалоба
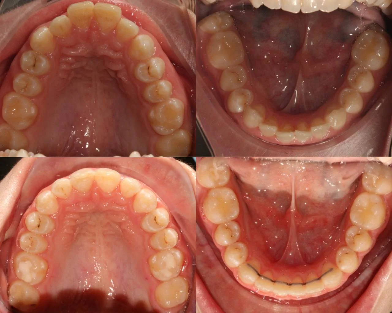
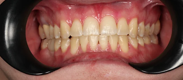
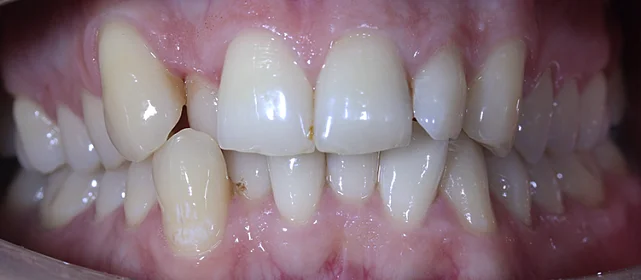
Неправильное положение зубов, неправильное смыкание.
Диагностика
Нарушение соотношения челюстей и неправильное положение зубов — зубные ряды смыкались некорректно, зубы стояли со смещением.
План лечения
Брекет-система на обе челюсти. Выровнять зубы, исправить смыкание, подготовить к реставрациям и ортопедической реабилитации. Срок — чуть больше года.
Ход лечения
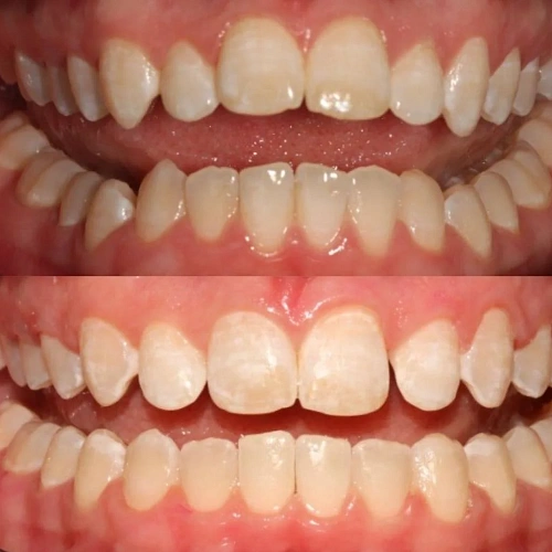
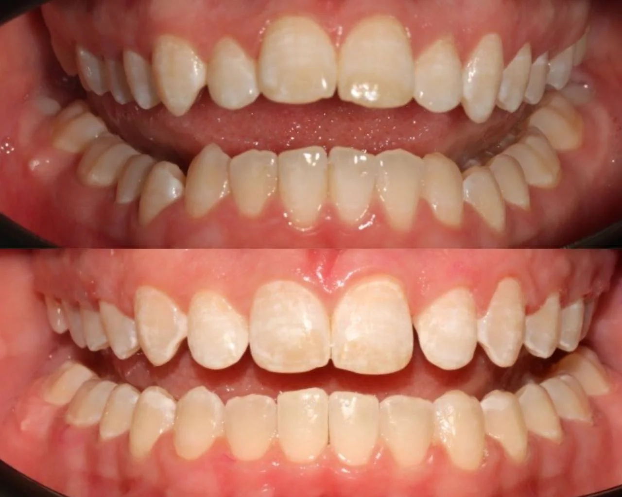
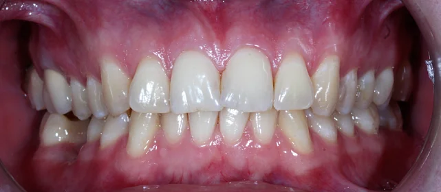
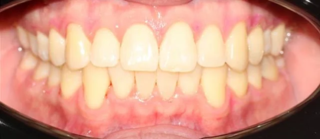
Лечение заняло 14 месяцев (февраль 2025 — апрель 2026). Параллельно проводилась профессиональная гигиена. После завершения ортодонтии — реставрации, затем установка ретейнера на верхнюю челюсть и изготовление окончательных ретенционных кап.
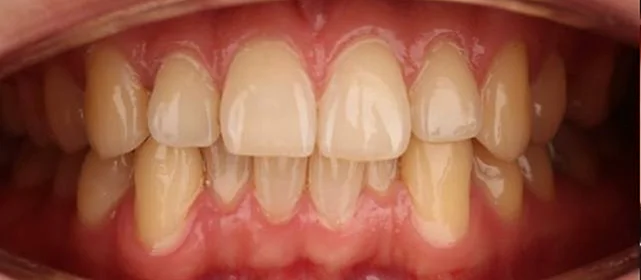
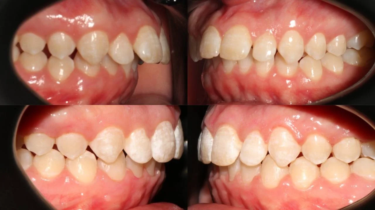
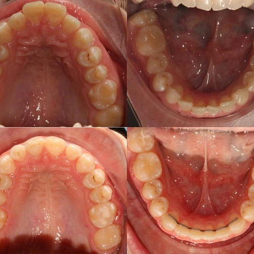
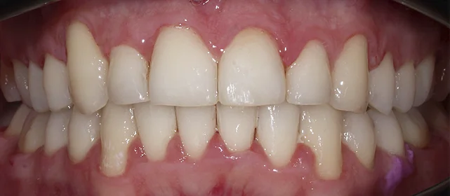
Результат
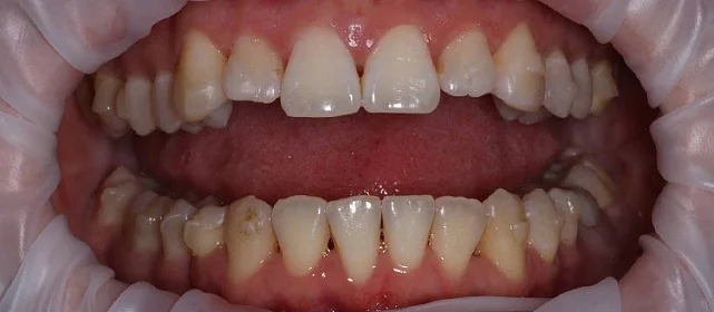
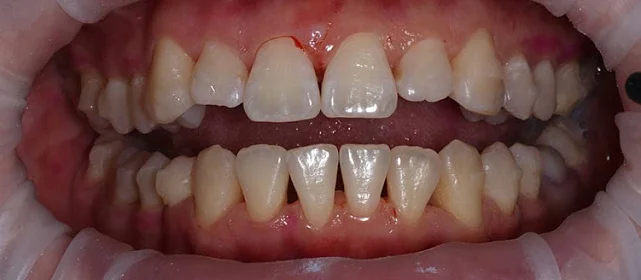
Зубы выровнены, смыкание нормализовано. Ретейнер установлен на нижнюю челюсть. Пациентка проходит реставрации, после которых будет зафиксирован ретейнер на верхнюю челюсть, переделаны ретенционные капы и начнётся ортопедическая реабилитация.

Дата публикации: 01.04.26

Фотографии опубликованы с согласия пациента

Проблема: Пациентку не устраивало положение зубов — они стояли неровно, а челюсти смыкались неправильно. Помимо самих зубов, часть из них нуждалась в реставрации, но восстанавливать их до выравнивания не имело смысла. Сначала ровный ряд, потом всё остальное.
Решение: Установили брекеты на обе челюсти. За 14 месяцев зубы встали в правильное положение, смыкание пришло в норму. После снятия брекетов зафиксировали ретейнер на нижнюю челюсть. Далее по плану будет отреставрирован верхний ряд, затем и туда будет установлен ретейнер. В самом конце будет проведена ортопедическая реабилитация. Этот тот случай, когда ортодонтия только первый этап комплексного лечения сложной проблемы.
Куканова Алена Витальевна
Стоматолог - ортодонт
Стаж более 5 лет
★★★★★ 4.9
Хочу консультацию
Отзыв пациента
Долго сомневалась, но решилась. 14 месяцев пролетели быстрее, чем я думала. Первую неделю было непривычно, потом перестала замечать. Сейчас впереди ещё реставрации, но зубы уже ровные — и это видно. Жалею только о том, что не начала раньше.
Комментарий врача
Случай потребовал поэтапного подхода: сначала ортодонтия, потом реставрации, потом ортопедия. Менять порядок нельзя — если реставрировать зубы до выравнивания, нагрузка ляжет неравномерно, и работа долго не простоит. Брекеты справились за 14 месяцев — быстро для комплексного случая. Сейчас ряд готов к следующему этапу.
Куканова Алена Витальевна
Стоматолог - ортодонт
Оставьте заявку на запись на бесплатную консультацию ортодонта
В консультацию входит 3D-диагностика, визуализация вашей новой улыбки, индивидуальный план лечения, расчёт стоимости «под ключ».
Нажимая на кнопку «Бесплатная консультация», вы даёте согласие на обработку персональных данных.
Оставьте заявку на запись на бесплатную консультацию ортодонта