Арбат
Сокольники
Поиск
Пн-Вс с 9:00 до 21:00
+7 (499) 681-95-69
Обратный звонок
Онлайн запись
Услуги
Врачи
Цены
Работы
Акции
Блог
О нас
Новости
Пресса о нас
Отзывы
Контакты
Я пациент
Главная
Работы
Протезирование верхней челюсти в комплексе с хирургической реабилитацией мягких тканей
Whatsapp недоступен в РФ. Продолжим общение в телеграмме?
Связаться
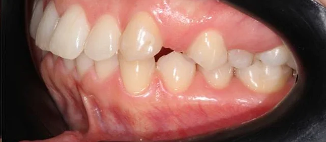
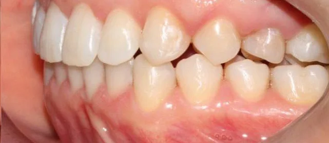
Протезирование верхней челюсти в комплексе с хирургической реабилитацией мягких тканей
Было проведено протезирование верхней челюсти в комплексе с хирургической реабилитацией мягких тканей.
Возврат к списку
Оставьте заявку на запись на бесплатную консультацию ортодонта
В консультацию входит 3D-диагностика, визуализация вашей новой улыбки, индивидуальный план лечения, расчёт стоимости «под ключ».
Нажимая на кнопку «Бесплатная консультация», вы соглашаетесь с
политикой конфиденциальности
.
Услуги
Врачи
Цены
Работы
Акции
Блог
О нас
Новости
Пресса о нас
Отзывы
Контакты
Я пациент
Telegram
8 (499) 681-95-69