Лечение прикуса на элайнерах Invisalign — от неправильного прикуса к ровной улыбке

Лечение прикуса на элайнерах Invisalign — от неправильного прикуса к ровной улыбке

У меня похожий случай
Итоги по кейсу
Пол
Мужской
Возраст
23 года
Жалоба
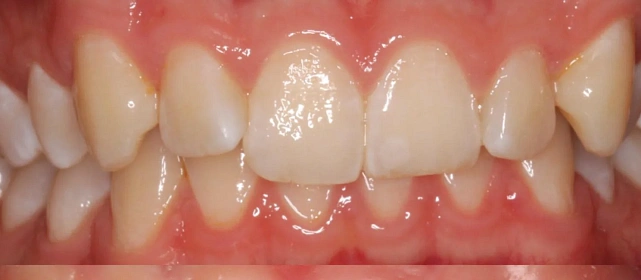
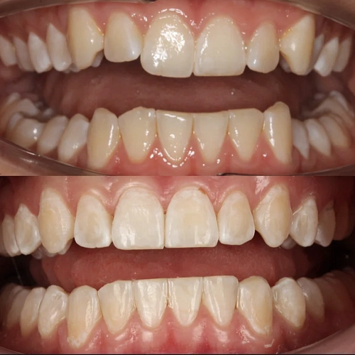
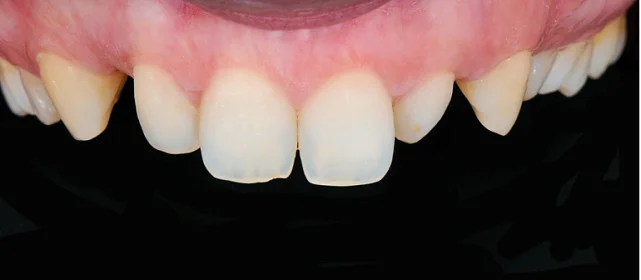
Неправильное положение зубов, неправильное смыкание.
Диагностика
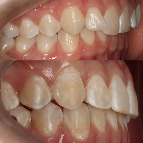
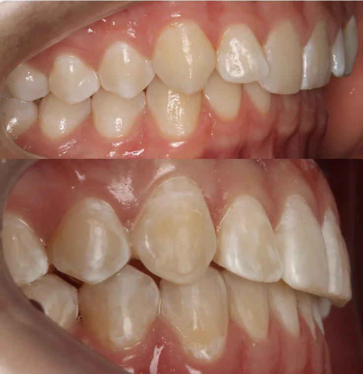
Нарушение соотношения челюстей и неправильное положение зубов — зубные ряды смыкались некорректно, зубы стояли со смещением.
План лечения
Прозрачные элайнеры Invisalign на обе челюсти. Выровнять зубы и нормализовать смыкание. Срок — около 2 лет.
Ход лечения
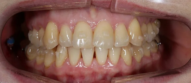
Лечение заняло 4 года (февраль 2022 — март 2026). Капы менялись каждые 1–2 недели, визиты к ортодонту для контроля и выдачи новых наборов.
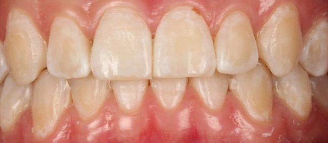
Результат
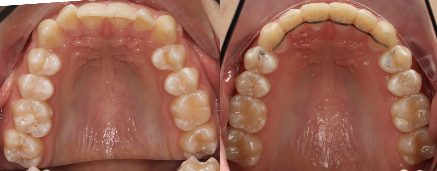
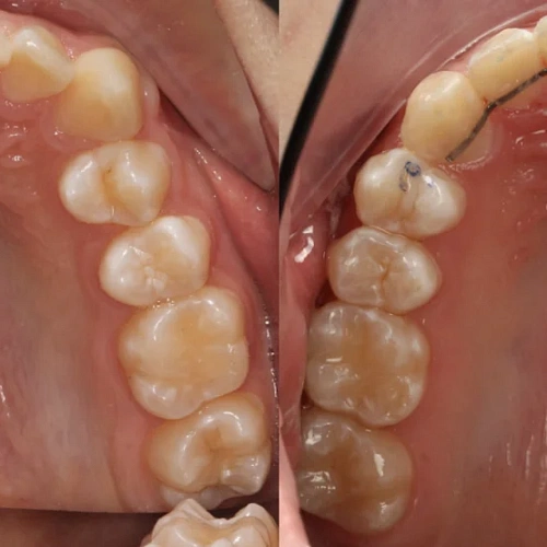
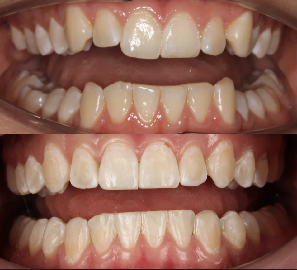
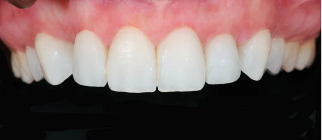
Зубы выровнены, смыкание нормализовано. Установлены несъёмные ретейнеры на обе челюсти. Пациент направлен к ортопеду.

Дата публикации: 02.04.26

Фотографии опубликованы с согласия пациента

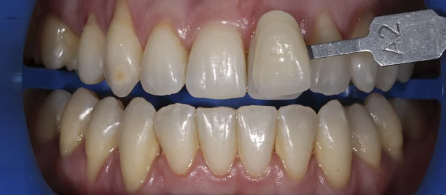
Проблема: В клинику обратился мужчина с жалобами на неправильное положение зубов и смыкание — ряды сходились некорректно, зубы стояли со смещением. При этом было важно, чтобы лечение оставалось незаметным для окружающих, поэтому вариант с брекетами не рассматривался.
Решение: Поставили элайнеры Invisalign на обе челюсти. Лечение заняло 4 года — случай потребовал нескольких этапов коррекции, каждый из которых последовательно приближал зубы к нужному положению. Капы менялись каждые 1–2 недели, контрольные визиты — для отслеживания прогресса и выдачи новых наборов. Зубы встали на место, смыкание пришло в норму. Зафиксировали ретейнеры на обе челюсти, пациент направлен к ортопеду для завершающего этапа.
Куканова Алена Витальевна
Стоматолог - ортодонт
Стаж более 5 лет
★★★★★ 4.9
Хочу консультацию
Отзыв пациента
Четыре года на элайнерах. Долго — да, но у меня был непростой случай, и Алёна Витальевна сразу об этом предупредила. Для меня принципиально было обойтись без брекетов — специфика работы. Invisalign в этом плане себя оправдал, за всё время вопросов ни у кого не возникало. По итогу: зубы ровные, прикус правильный. Записан к ортопеду, закрываю оставшиеся моменты. Клинику рекомендую — работают чётко, без лишней суеты.
Комментарий врача
Случай потребовал нескольких последовательных этапов коррекции. Invisalign позволяет дозаказывать капы в рамках лечения, и здесь это понадобилось — каждый следующий этап доводил положение зубов точнее. Результат достигнут, прикус стабилен, ретейнеры на месте. Пациента направила к ортопеду.
Куканова Алена Витальевна
Стоматолог - ортодонт
Оставьте заявку на запись на бесплатную консультацию ортодонта
В консультацию входит 3D-диагностика, визуализация вашей новой улыбки, индивидуальный план лечения, расчёт стоимости «под ключ».
Нажимая на кнопку «Бесплатная консультация», вы даёте согласие на обработку персональных данных.
Оставьте заявку на запись на бесплатную консультацию ортодонта