Лечение сужения ВЧ, скученности и дистального прикуса

Лечение сужения ВЧ, скученности и дистального прикуса

Дата публикации: 15.11.23

Фотографии опубликованы с согласия пациента

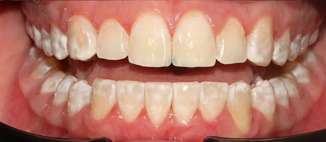
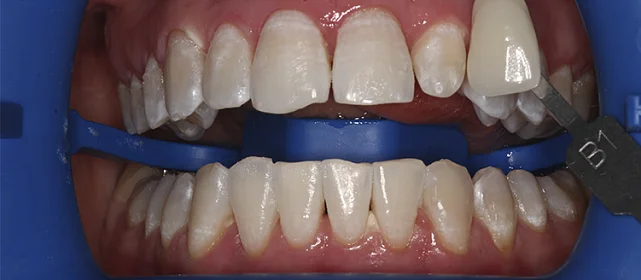
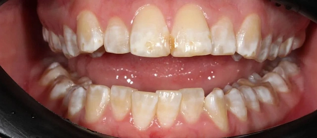
Диагноз: Сужение ВЧ, скученность, дистальный прикус
Дьячкова Инна Владимировна
Стоматолог - ортодонт
Стаж более 11 лет
★★★★★ 5.0
Хочу консультацию
Оставьте заявку на запись на бесплатную консультацию ортодонта
В консультацию входит 3D-диагностика, визуализация вашей новой улыбки, индивидуальный план лечения, расчёт стоимости «под ключ».
Нажимая на кнопку «Бесплатная консультация», вы соглашаетесь с политикой конфиденциальности.
Оставьте заявку на запись на бесплатную консультацию ортодонта