Арбат
Сокольники
Поиск
Пн-Вс с 9:00 до 21:00
+7 (499) 681-95-69
Обратный звонок
Онлайн запись
Услуги
Врачи
Цены
Работы
Акции
Блог
О нас
Новости
Пресса о нас
Отзывы
Контакты
Я пациент
Главная
Работы
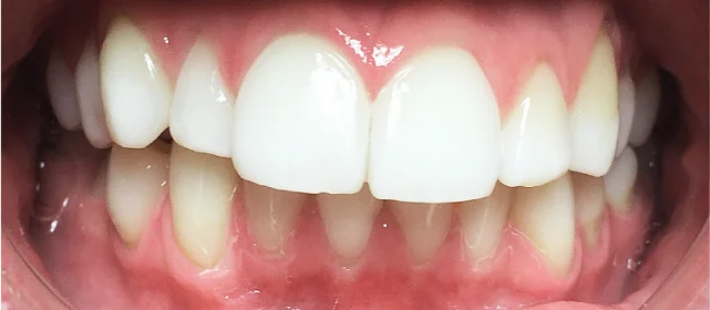
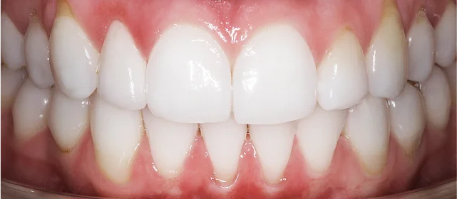
Ортодонтическое лечение на брекет-системе №4
Ортодонтическое лечение на брекет-системе №4
У меня похожий случай
Дата публикации: 01.04.26
Фотографии опубликованы с согласия пациента
Дьячкова Инна Владимировна
Стоматолог - ортодонт
Стаж более 11 лет
★★★★★
5.0
Хочу консультацию
Другие работы
Лечение дистального прикуса с последующим ретенционным периодом
Врач:
Арутюнова Екатерина Ашотовна
Подробнее
Лечение прикуса и восстановление эстетики винирами
Врач:
Мирзоев Фарзон Мирославович
Подробнее
Ортодонтическое лечение с последующей ортопедией
Врач:
Данилова Виктория Юрьевна
Подробнее
Устранение глубокого перекрытия с помощью элайнеров
Врач:
Джурабаева Ситорахон Акбаровна
Подробнее
Неровные зубы и нарушение прикуса — лечение на элайнерах 3D Smile
Врач:
Поленок Мария Сергеевна
Подробнее
Оставьте заявку на запись на бесплатную консультацию ортодонта
В консультацию входит 3D-диагностика, визуализация вашей новой улыбки, индивидуальный план лечения, расчёт стоимости «под ключ».
Нажимая на кнопку «Бесплатная консультация», вы соглашаетесь с
политикой конфиденциальности
.
Услуги
Врачи
Цены
Работы
Акции
Блог
О нас
Новости
Пресса о нас
Отзывы
Контакты
Я пациент
Чат-бот для пациентов
Telegram
8 (499) 681-95-69