Арбат
Сокольники
Поиск
Пн-Вс с 9:00 до 21:00
+7 (499) 681-95-69
Обратный звонок
Онлайн запись
Услуги
Врачи
Цены
Работы
Акции
Блог
О нас
Новости
Пресса о нас
Отзывы
Контакты
Я пациент
Главная
Работы
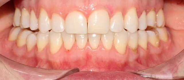
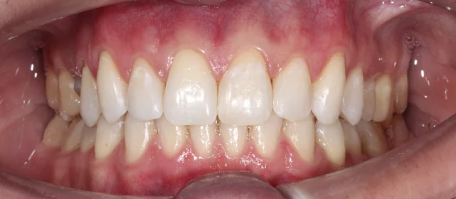
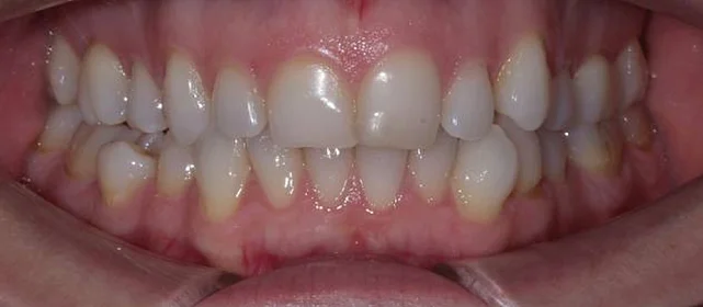
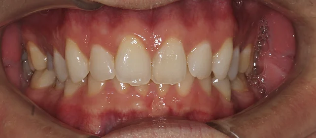
Ортодонтическое лечение на элайнерах №6
Ортодонтическое лечение на элайнерах №6
У меня похожий случай
Дата публикации: 01.04.26
Фотографии опубликованы с согласия пациента
Джурабаева Ситорахон Акбаровна
Стоматолог - ортодонт
Стаж более 5 лет
★★★★★
4.9
Хочу консультацию
Другие работы
Исправление глубокого перекрытия зубов без брекетов
Врач:
Арутюнова Екатерина Ашотовна
Подробнее
Лечение неправильного прикуса элайнерами
Врач:
Джурабаева Ситорахон Акбаровна
Подробнее
Лечение дистального прикуса на брекетах
Врач:
Арутюнова Екатерина Ашотовна
Подробнее
Односторонний второй класс смыкания: лечение
Врач:
Данилова Виктория Юрьевна
Подробнее
Исправление скученности зубов на верхней и нижней челюсти
Врач:
Данилова Виктория Юрьевна
Подробнее
Оставьте заявку на запись на бесплатную консультацию ортодонта
В консультацию входит 3D-диагностика, визуализация вашей новой улыбки, индивидуальный план лечения, расчёт стоимости «под ключ».
Нажимая на кнопку «Бесплатная консультация», вы соглашаетесь с
политикой конфиденциальности
.
Услуги
Врачи
Цены
Работы
Акции
Блог
О нас
Новости
Пресса о нас
Отзывы
Контакты
Я пациент
Чат-бот для пациентов
Telegram
8 (499) 681-95-69