Ортодонтическое лечение зубов на брекет-системе Damon

Ортодонтическое лечение зубов на брекет-системе Damon

У меня похожий случай
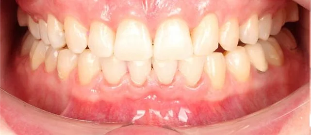
Итоги по кейсу
Пол
Женский
Возраст
34 года
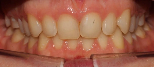
Жалоба
Обратилась с жалобой на скученность верхней и нижней челюсти средней степени тяжести — рецидив после подросткового лечения (ретейнер не носила).
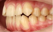
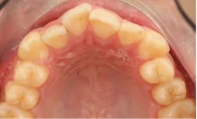
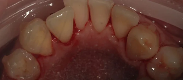
Диагностика
КЛКТ, интраоральное сканирование, пародонтологическое обследование. Подвижности зубов нет, глубина зондирования — в пределах нормы. 
Убыль кости — начальная, не превышает 1/4 длины корня.
Дополнительно
рецессия десны в области нижних резцов, старые композитные пломбы на боковых зубах.
План лечения
пародонтологическая подготовка (2 визита), профессиональная гигиена, установка Damon Clear на обе челюсти.
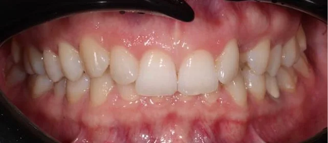
Ход лечения
общий срок — 18 месяцев, 11 визитов для замены дуг и контроля. На 4-м месяце — видимое улучшение выравнивания. На 12-м — начат этап коррекции прикуса 
с межчелюстными эластиками. На 18-м — снятие, установка ретейнеров.
Результат
полное выравнивание зубных рядов без удаления зубов. Рецессия десны не прогрессировала (контроль по КТ через 12 месяцев). Пациентка носит несъёмные ретейнеры 
и ночные капы.

Дата публикации: 01.04.26

Фотографии опубликованы с согласия пациента

Проблема: В клинику обратился мужчина со сломанным протезом на имплантах. Протезирование верхней челюсти проводилось несколько лет назад по системе All-on-4. Акриловый протез сломался в области жевательных зубов, что влияло на эстетику и доставляло неудобства при приёме пищи. Кроме этого повышенная нагрузка на протез привела к его деформации, при осмотре обнаружены микротрещины.
Диагноз: полное отсутствие зубов, перелом протеза на имплантах.
Решение: Все четыре импланта, на которые крепился протез, остались целыми и сохранили стабильность. Поэтому пациенту нужно было заменить только сам протез на верхней челюсти. В качестве материала выбран цирконий, так как он обладает повышенной устойчивостью к нагрузкам. В конструкцию добавили титановую балку для более прочной основы. Готовый циркониевый протез сочетает в себе эстетику и надёжность.
Дзгоева Стелла Станиславовна
Стоматолог - ортодонт
Стаж более 3 лет
★★★★★ 4.9
Хочу консультацию
Отзыв пациента
Кривые зубы всегда были моим комплексом. Постоянно прятал улыбку, боялся смеяться в компании. Так еще и зубы со временем начали крошиться, потому что нагрузка неравномерная. С брекетами обрел уверенность.
Комментарий врача
Выбрали брекет-систему с дополнительными мини-винтами для коррекции сложного случая скученности зубов. Достигли отличного результата за 2,5 года.
Дзгоева Стелла Станиславовна
Стоматолог - ортодонт
Оставьте заявку на запись на бесплатную консультацию ортодонта
В консультацию входит 3D-диагностика, визуализация вашей новой улыбки, индивидуальный план лечения, расчёт стоимости «под ключ».
Нажимая на кнопку «Бесплатная консультация», вы даёте согласие на обработку персональных данных.
Оставьте заявку на запись на бесплатную консультацию ортодонта