Скученность и сужение челюстей вылечили на брекетах всего за 15 месяцев

Скученность и сужение челюстей вылечили на брекетах всего за 15 месяцев

У меня похожий случай
Итоги по кейсу
Пол
Женский
Возраст
27 лет
Жалоба
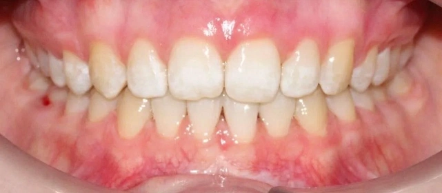
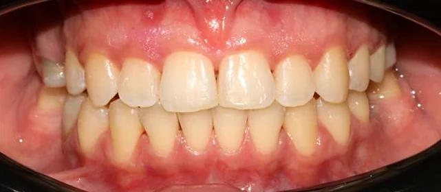
Неровные зубы.
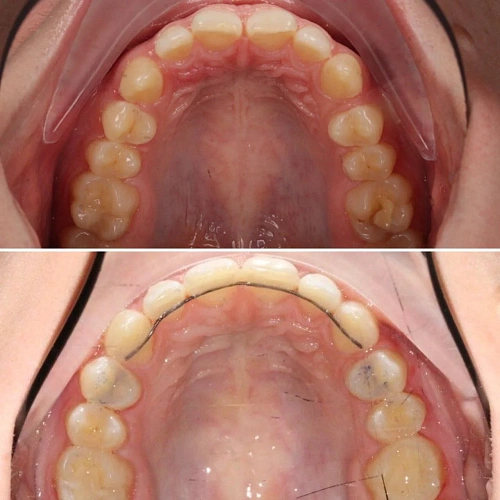
Диагностика
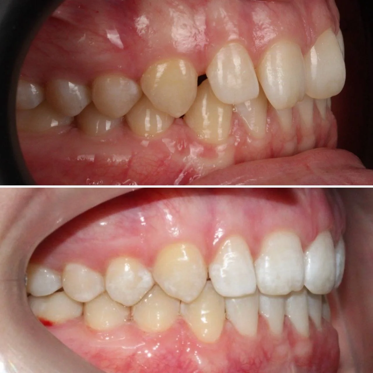
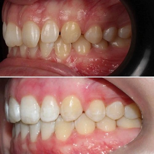
Скученность зубов, обе челюсти сужены — зубам не хватало места в ряду.
План лечения
Брекет-система на обе челюсти. Расширить зубные дуги и убрать скученность. Срок — около 1,5 лет.
Ход лечения
Лечение заняло 15 месяцев (июнь 2024 — сентябрь 2025). Визиты к ортодонту раз в 4–6 недель для замены дуг и контроля прогресса.
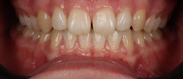
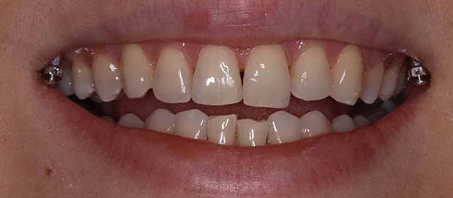
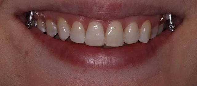
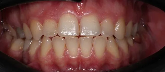
Результат
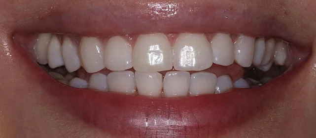
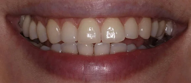
Зубы выровнены, скученность устранена. Установлены несъёмные ретейнеры на обе челюсти, сняты сканы для ретенционных кап. Ортопедия не требуется, рекомендовано лечение у терапевта.

Дата публикации: 03.04.26

Фотографии опубликованы с согласия пациента

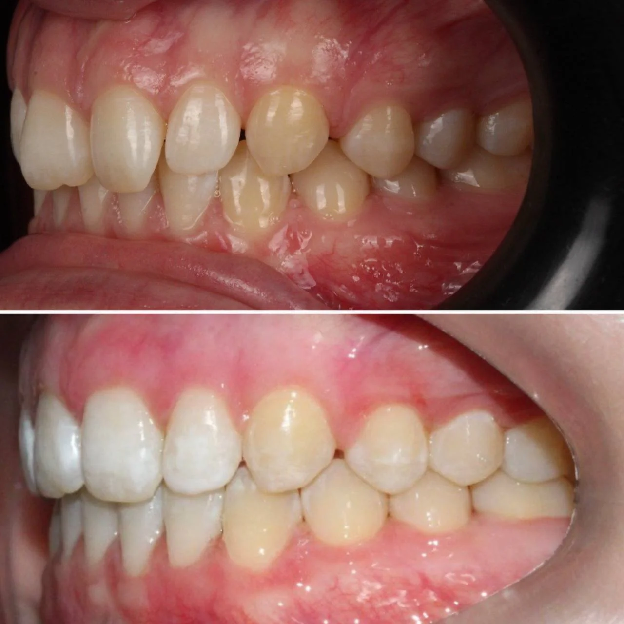
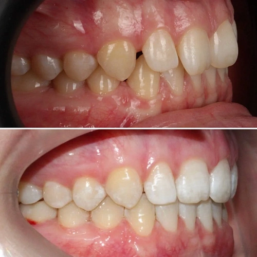
Проблема: Пациентка обратилась с одной жалобой — неровные зубы. При осмотре обнаружили, что обе челюсти сужены, зубам банально не хватает места, отсюда скученность. Зубы здоровые, ортопедия не нужна — чисто ортодонтический случай.
Решение: Установили брекеты на обе челюсти. Расширили дуги, убрали скученность — всё за 15 месяцев. Визиты раз в 4–6 недель для замены дуг. После снятия зафиксировали ретейнеры на обе челюсти, сняли сканы для кап. Ортопед подтвердил, что протезирование не требуется. Терапевт рекомендовал лечение — пациентка записана.
Данилова Виктория Юрьевна
Ведущий ортодонт
Стаж более 10 лет
★★★★★ 5.0
Хочу консультацию
Отзыв пациента
Пятнадцать месяцев!! Я морально готовилась к двум годам минимум, начиталась всякого в интернете. Виктория Юрьевна на первой консультации сказала, что случай не самый сложный и должны уложиться побыстрее. Так и вышло. Из неприятного — первая неделя после установки и пара дней после каждой замены дуги. В остальном нормально, привыкла быстро. Когда сняли и я увидела зубы — не поверила, что это мои. Теперь вот к терапевту надо сходить, подлечить пару зубов, и вообще всё.
Комментарий врача
Скученность на обеих челюстях при сужении дуг — классический случай. Зубы здоровые, корни в хорошем состоянии, мотивация у пациентки высокая. Всё это позволило уложиться в 15 месяцев без осложнений. Ортопед подтвердил, что протезирование не нужно. Рекомендовала пройти терапевтическое лечение для полного завершени
Данилова Виктория Юрьевна
Ведущий ортодонт
Оставьте заявку на запись на бесплатную консультацию ортодонта
В консультацию входит 3D-диагностика, визуализация вашей новой улыбки, индивидуальный план лечения, расчёт стоимости «под ключ».
Нажимая на кнопку «Бесплатная консультация», вы даёте согласие на обработку персональных данных.
Оставьте заявку на запись на бесплатную консультацию ортодонта