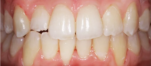
Скученность, протрузия на верхней и нижней челюсти

Скученность, протрузия на верхней и нижней челюсти

Дата публикации: 18.01.24

Фотографии опубликованы с согласия пациента

Диагноз: Сильная скученность. Протрузия на вч и нч. Проблема с суставом
Киргуева Дзерасса Валерьевна
Стоматолог - ортодонт
Стаж более 3 лет
★★★★★ 4.9
Хочу консультацию
Оставьте заявку на запись на бесплатную консультацию ортодонта
В консультацию входит 3D-диагностика, визуализация вашей новой улыбки, индивидуальный план лечения, расчёт стоимости «под ключ».
Нажимая на кнопку «Бесплатная консультация», вы соглашаетесь с политикой конфиденциальности.
Оставьте заявку на запись на бесплатную консультацию ортодонта