Сужение челюстей, выступающие резцы и скученность — 81 капа на элайнерах Spark

Сужение челюстей, выступающие резцы и скученность — 81 капа на элайнерах Spark

У меня похожий случай
Итоги по кейсу
Пол
Женский
Возраст
42 года
Жалоба
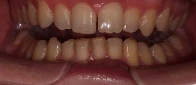
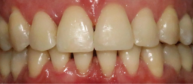
Неровные зубы, не нравилась улыбка.
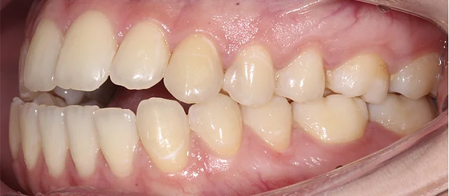
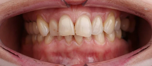
Диагностика
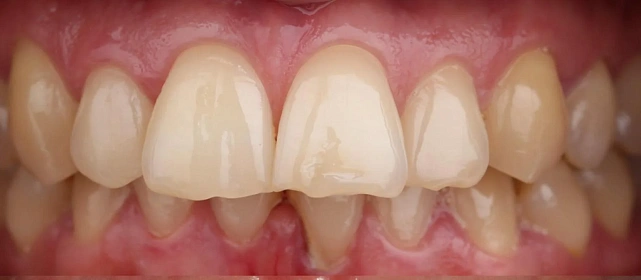
Обе челюсти сужены — зубам не хватало места. На верхней челюсти передние зубы выступали вперёд и были наклонены. На нижней — зубы стояли скученно, налезая друг на друга.
План лечения
Прозрачные элайнеры Spark на обе челюсти. Расширить зубные дуги, убрать скученность, вернуть передние зубы в правильное положение. Основной набор — 71 капа. Срок — около 2,5 лет.
Ход лечения
Лечение заняло 31 месяц (июль 2023 — февраль 2026). В процессе понадобился дополнительный набор из 10 кап для доработки результата — итого 81 капа. Визиты к ортодонту для контроля и выдачи новых наборов.
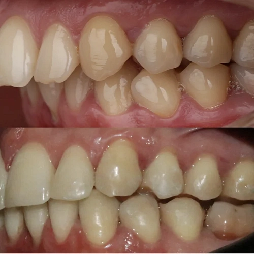
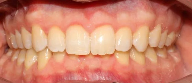
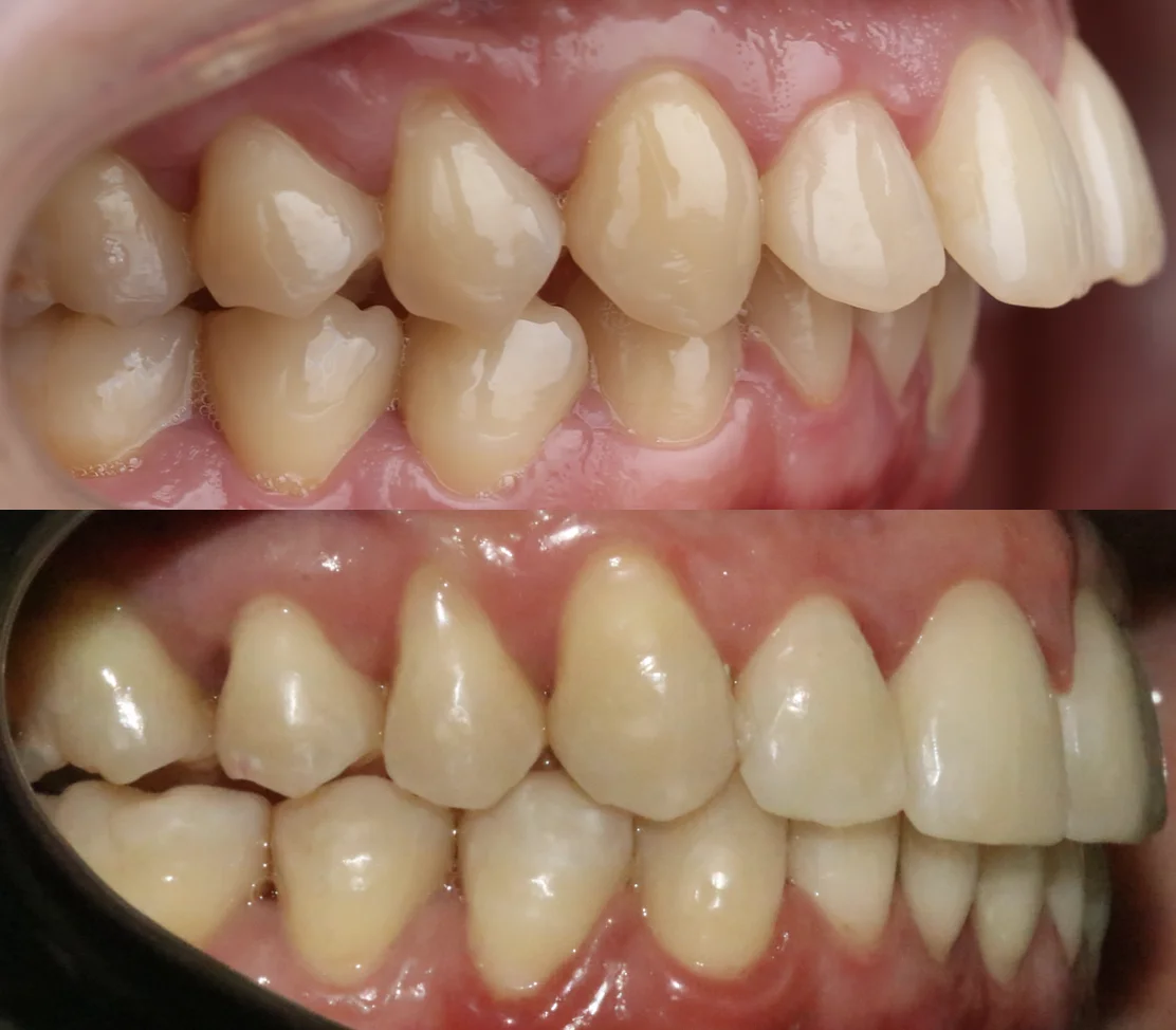
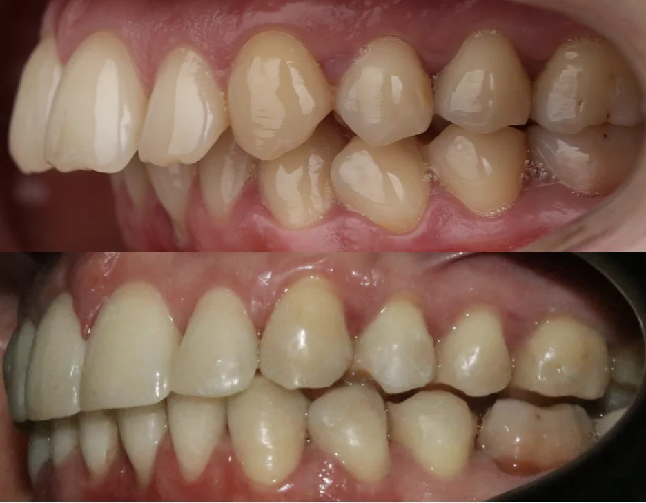
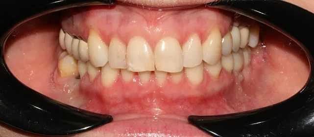
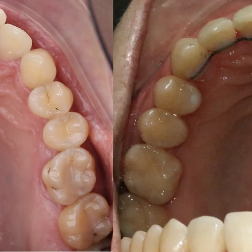
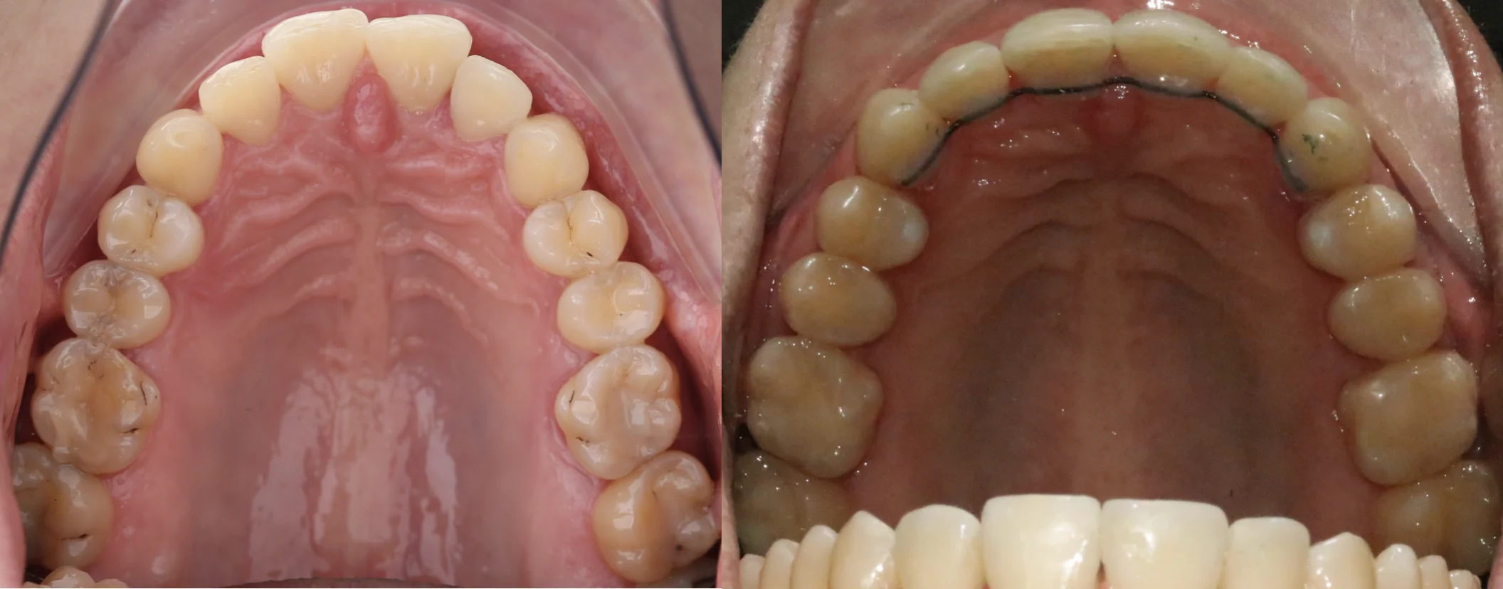
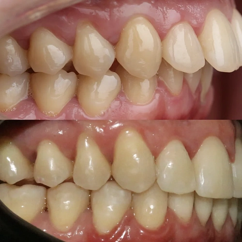
Результат
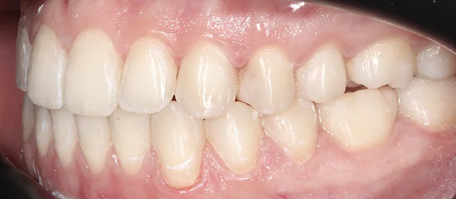
Зубы выровнены, скученность устранена, передние зубы встали в правильное положение. Установлены несъёмные ретейнеры на обе челюсти.

Дата публикации: 03.04.26

Фотографии опубликованы с согласия пациента

Проблема: Пациентке не нравилась улыбка — зубы стояли неровно. При осмотре картина оказалась комплексной: обе челюсти сужены, передние зубы на верхней челюсти выступали вперёд и были наклонены наружу, на нижней — скученность. Зубам не хватало места в ряду, и они компенсировали это кто наклоном, кто смещением.
Решение: Поставили элайнеры Spark на обе челюсти. Основной набор — 71 капа. За курс расширили зубные дуги, вернули передние зубы в правильное положение, убрали скученность. Дозаказ из 10 кап потребовался для финальной доработки, итого 81 капа за 31 месяц. Зафиксировали ретейнеры на обе челюсти. Ретенционные капы, ортопедию и терапию пациентка проходит по месту жительства.
Отзыв пациента
71 капа в основном наборе — когда услышала, подумала, что это навсегда. Но когда начинаешь носить, время идёт незаметно: меняешь капу каждые две недели и видишь, как зубы постепенно двигаются. Один дозаказ из 10 штук прошёл быстро. Передние зубы, которые торчали вперёд, теперь на месте. Улыбка наконец нравится.
Оставьте заявку на запись на бесплатную консультацию ортодонта
В консультацию входит 3D-диагностика, визуализация вашей новой улыбки, индивидуальный план лечения, расчёт стоимости «под ключ».
Нажимая на кнопку «Бесплатная консультация», вы соглашаетесь с политикой конфиденциальности.
Оставьте заявку на запись на бесплатную консультацию ортодонта