Исправление глубокого дистального прикуса

Исправление глубокого дистального прикуса

Дата публикации: 01.04.26

Фотографии опубликованы с согласия пациента

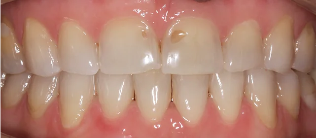
Проблема: Не нравятся верхние резцы (нижних собственно и не видно из-за глубокого прикуса)
Диагноз: глубокий прикус, дистальный прикус, скученность, сужение зубных рядов
Куканова Алена Витальевна
Стоматолог - ортодонт
Стаж более 5 лет
★★★★★ 4.9
Хочу консультацию
Комментарий врача
Несоответствие центральной линии между верхними и нижними резцами является физиологической нормой, если это несоответствие не превышает 4 мм.
Куканова Алена Витальевна
Стоматолог - ортодонт
Оставьте заявку на запись на бесплатную консультацию ортодонта
В консультацию входит 3D-диагностика, визуализация вашей новой улыбки, индивидуальный план лечения, расчёт стоимости «под ключ».
Нажимая на кнопку «Бесплатная консультация», вы соглашаетесь с политикой конфиденциальности.
Оставьте заявку на запись на бесплатную консультацию ортодонта