Лечение скученности и неправильного прикуса на элайнерах 3D Smile

Лечение скученности и неправильного прикуса на элайнерах 3D Smile

У меня похожий случай
Итоги по кейсу
Пол
Женский
Возраст
38 лет
Жалоба
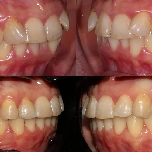
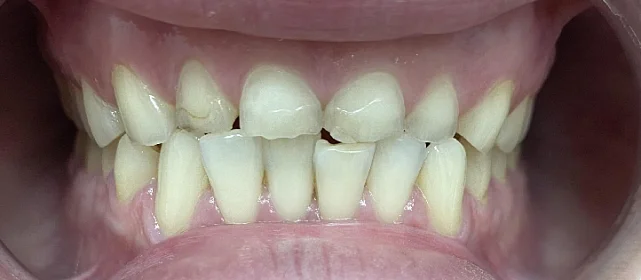
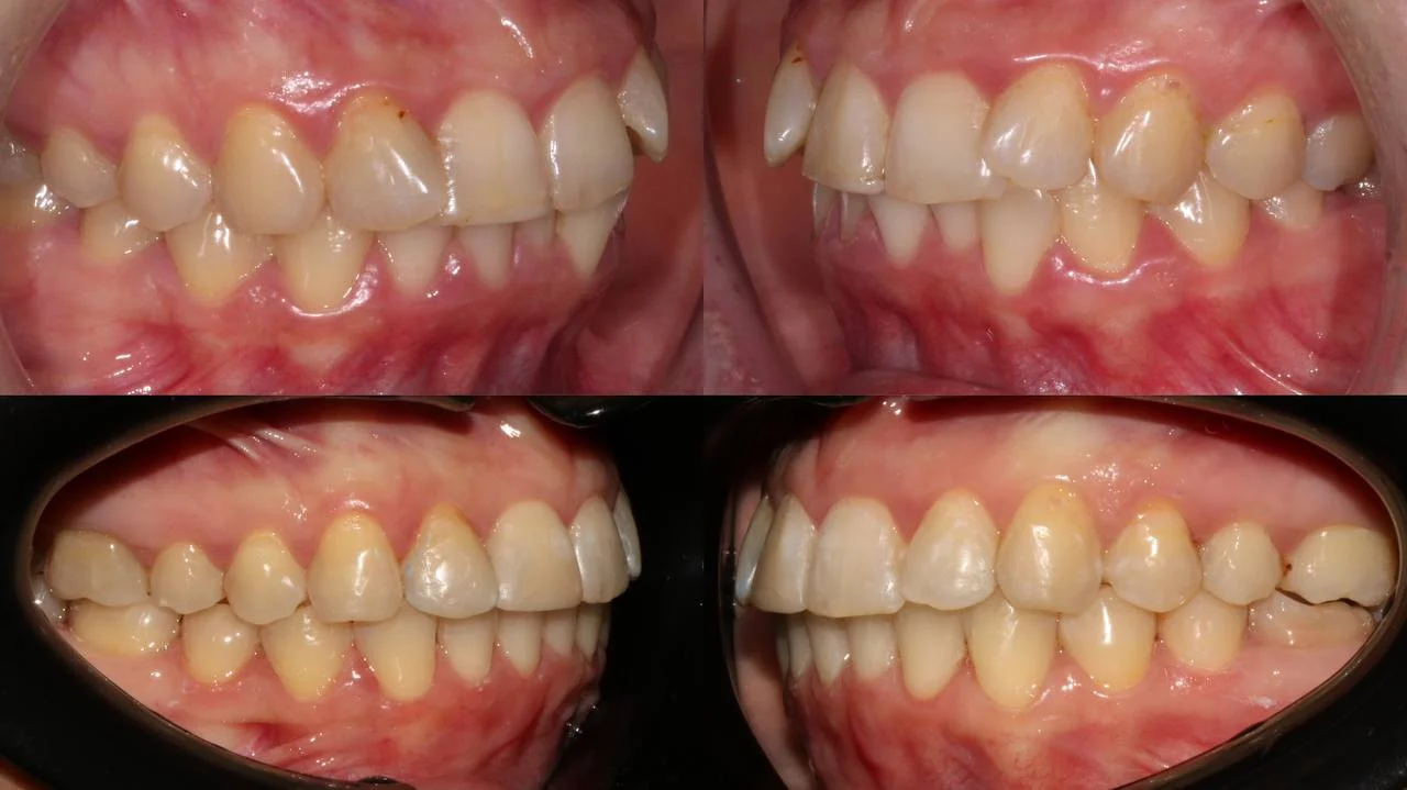
Неправильное положение зубов, неправильное смыкание.
Диагностика
Нарушение соотношения челюстей и неправильное положение зубов — зубные ряды смыкались некорректно, зубы стояли со смещением.
План лечения
Прозрачные элайнеры 3D Smile на обе челюсти. Выровнять зубы и нормализовать смыкание. Основной набор — 24 капы. Срок — около 1,5 лет.
Ход лечения
Лечение заняло 31 месяц (февраль 2023 — сентябрь 2025). Понадобились два дополнительных набора: 21 и 6 кап — итого 51 капа. Параллельно проводилась профессиональная гигиена.
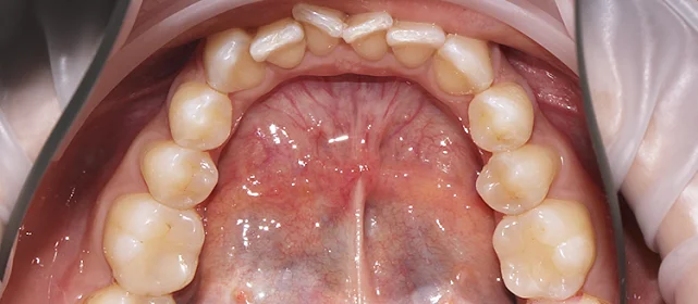
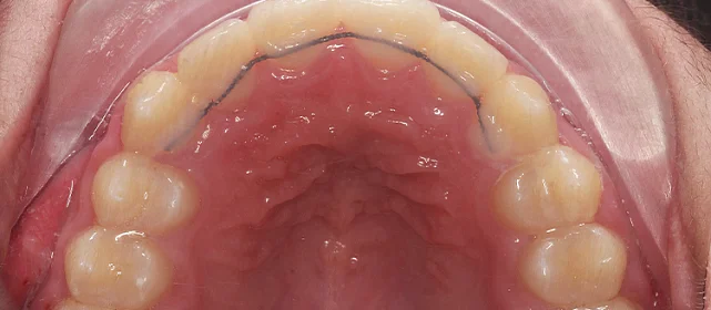
Результат
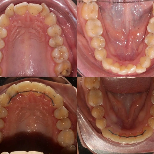
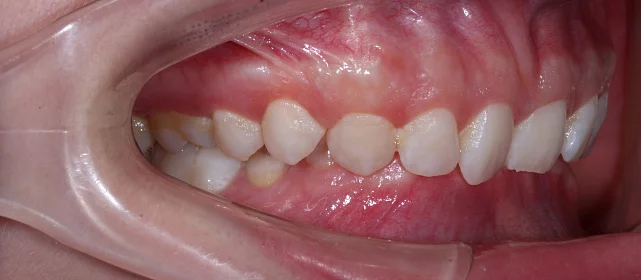
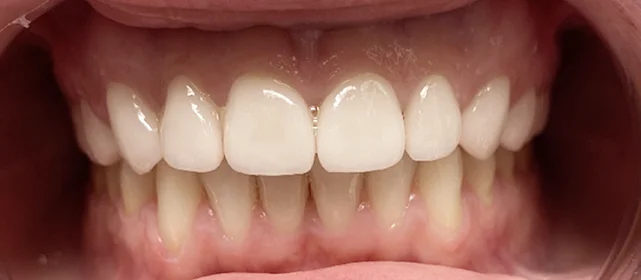
Зубы выровнены, смыкание нормализовано. Установлены несъёмные ретейнеры на обе челюсти, сняты сканы для ретенционных кап.

Дата публикации: 03.04.26

Фотографии опубликованы с согласия пациента

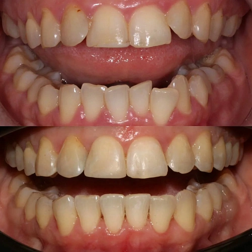
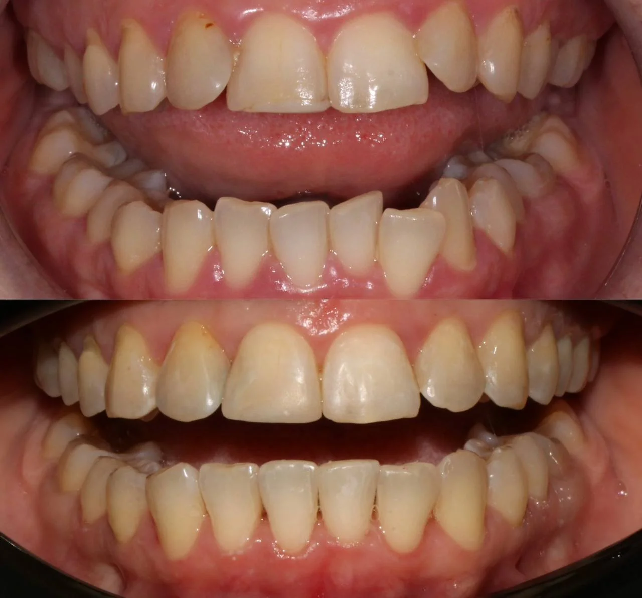
Проблема: Пациентку беспокоило неправильное положение зубов и смыкание — зубные ряды не сходились как нужно, зубы стояли со смещением. Это влияло на внешний вид улыбки и создавало неравномерную нагрузку при жевании.
Решение: Поставили прозрачные элайнеры 3D Smile на обе челюсти. Начали с 24 кап, но по ходу лечения понадобились два дополнительных набора — 21 и 6 кап. Зубы двигаются с индивидуальной скоростью, и финальная подгонка часто требует доработки. В итоге 51 капа за 31 месяц — зубы на месте, смыкание в норме. Зафиксировали ретейнеры на обе челюсти, сняли сканы для ретенционных кап. На этом ортодонтический этап завершён полностью.
Шевченко Алина Борисовна
Стоматолог - ортодонт
Стаж более 4 лет
★★★★★ 5.0
Хочу консультацию
Отзыв пациента
Были два дозаказа — это растянуло лечение. Каждый раз ждёшь новые капы пару недель, потом снова начинаешь цикл. Морально к этому надо быть готовой, но врач на берегу предупредила, что такое возможно, и объяснила зачем. Зато результат — зубы ровные, прикус правильный и уже навсегда.
Комментарий врача
Основной набор из 24 кап выполнил большую часть работы. Первый дозаказ из 21 капы потребовался для доводки положения отдельных зубов, второй из 6 — для финальной подгонки смыкания. Это не аномалия, а особенность работы с элайнерами: чем ближе к идеалу, тем тоньше настройка. Итог стабильный, ретейнеры на месте.
Шевченко Алина Борисовна
Стоматолог - ортодонт
Оставьте заявку на запись на бесплатную консультацию ортодонта
В консультацию входит 3D-диагностика, визуализация вашей новой улыбки, индивидуальный план лечения, расчёт стоимости «под ключ».
Нажимая на кнопку «Бесплатная консультация», вы даёте согласие на обработку персональных данных.
Оставьте заявку на запись на бесплатную консультацию ортодонта