Исправление скученности элайнерами

Исправление скученности элайнерами

Дата публикации: 01.04.26

Фотографии опубликованы с согласия пациента

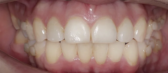
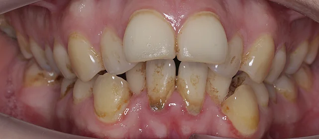
Проблема: С детства пациентку волновал вопрос неровных зубов. Пациентка ранее получала консультацию в других клиниках, где ей было рекомендовано лечение с удалением премоляров и удаление восьмерок. В ПроПрикус было проведено лечение без удаления.
Диагноз: скученность
Сантросян Анна Айказовна
Стоматолог - ортодонт
Стаж более 8 лет
Хочу консультацию
Оставьте заявку на запись на бесплатную консультацию ортодонта
В консультацию входит 3D-диагностика, визуализация вашей новой улыбки, индивидуальный план лечения, расчёт стоимости «под ключ».
Нажимая на кнопку «Бесплатная консультация», вы соглашаетесь с политикой конфиденциальности.
Оставьте заявку на запись на бесплатную консультацию ортодонта