Изменение скученности зубов с помощью системы Invisalign

Изменение скученности зубов с помощью системы Invisalign

Дата публикации: 01.04.26

Фотографии опубликованы с согласия пациента

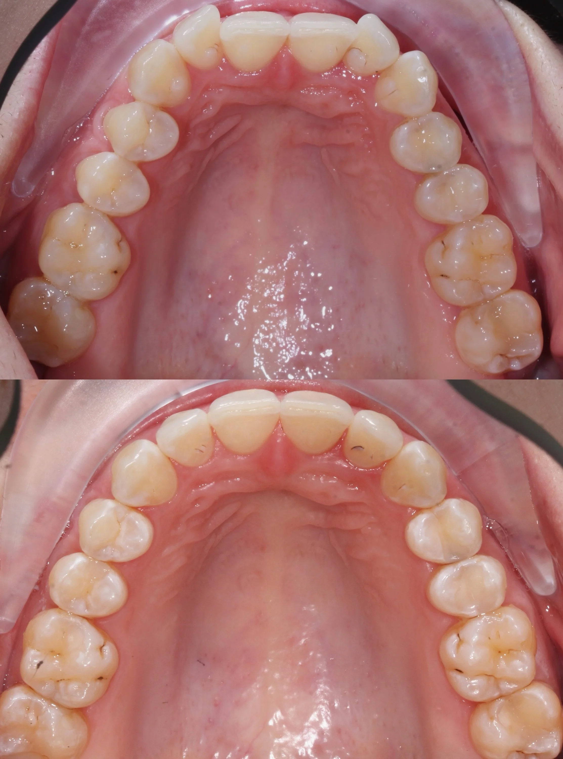
Проблема: Пациенту не нравится, что боковые резцы «торчат»
Диагноз: Смыкание справа по 2 классу, сужение зубных рядов, скученность
Арутюнова Екатерина Ашотовна
Зав. отделением ортодонтии на Арбате
Стаж более 8 лет
★★★★★ 5.0
Хочу консультацию
Комментарий врача
Пациентка находится на ретенционном периоде лечения: несъемные ретейнеры и ночные ретенционные каппы.
Арутюнова Екатерина Ашотовна
Зав. отделением ортодонтии на Арбате
Оставьте заявку на запись на бесплатную консультацию ортодонта
В консультацию входит 3D-диагностика, визуализация вашей новой улыбки, индивидуальный план лечения, расчёт стоимости «под ключ».
Нажимая на кнопку «Бесплатная консультация», вы даёте согласие на обработку персональных данных.
Оставьте заявку на запись на бесплатную консультацию ортодонта