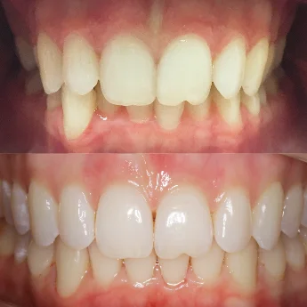
Лечение ретрузионного наклона верхних резцов с последующей реставрацией

Лечение ретрузионного наклона верхних резцов с последующей реставрацией

Дата публикации: 01.04.26

Фотографии опубликованы с согласия пациента

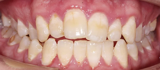
Проблема: Дефект твёрдых тканей зуба 2.1 ,3.1 (центральный резец верхней челюсти слева и центральный резец нижней челюсти слева) такие дефекты обычно из-за семечек, что говорит о том, что это вредная привычка, от которой необходимо отказаться.
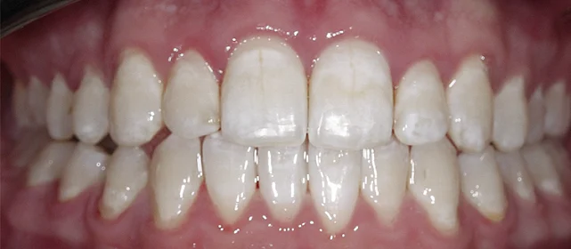
Диагноз: скученность, сужение зубных рядов, глубокое резцовое перекрытие; ретрузионный наклон резцов (наклон внутрь)
Арутюнова Екатерина Ашотовна
Зав. отделением ортодонтии на Арбате
Стаж более 8 лет
★★★★★ 5.0
Хочу консультацию
Комментарий врача
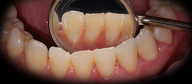
Планируется реставрация зуба 2.1,3.1 по поводу утраченных тканей.
Арутюнова Екатерина Ашотовна
Зав. отделением ортодонтии на Арбате
Оставьте заявку на запись на бесплатную консультацию ортодонта
В консультацию входит 3D-диагностика, визуализация вашей новой улыбки, индивидуальный план лечения, расчёт стоимости «под ключ».
Нажимая на кнопку «Бесплатная консультация», вы даёте согласие на обработку персональных данных.
Оставьте заявку на запись на бесплатную консультацию ортодонта