Улучшение эстетики верхних зубов после ортодонтического лечения

Улучшение эстетики верхних зубов после ортодонтического лечения

Дата публикации: 01.04.26

Фотографии опубликованы с согласия пациента

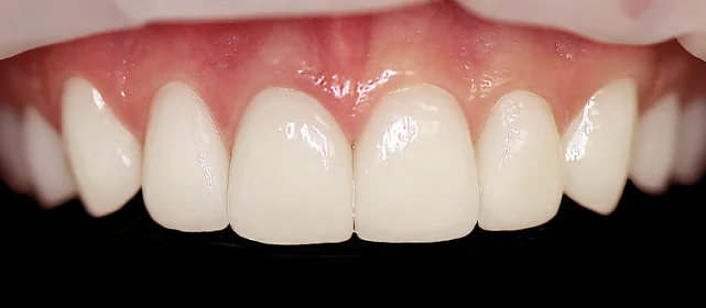
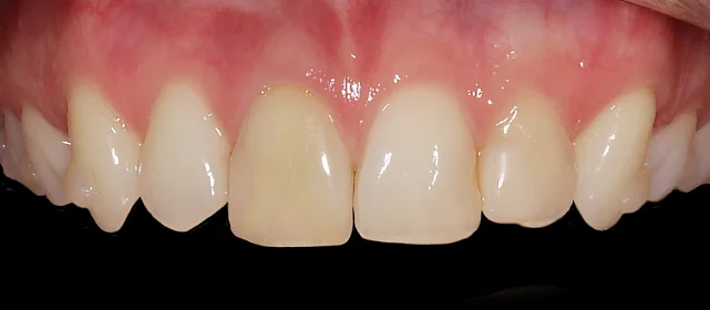
Проблема: Зуб 1.6 - массивная пломба, ИРОПЗ около 70%, по границе прилегания определяются вторичные кариозные образования. Зуб 2.6 - массивная пломба, ИРОПЗ около 60%. Имеются композитные реставрации на зубах 2.1, 2.2, 2.4, отвечающие предъявляемым требованиям. Имеются сколы эмали на режущих краях зубов 1.2, 1.1, 2.1, 2.2. На ортопантомограмме зубы 1.6, 2.6 ранее депульпированы, патологические изменения у верхушек корневых каналов не определяются.
Диагноз: Зубы 2.1, 2.2, 2.4 - композитные рестоврации; Зубы 1.2, 1.1, 2.1, 2.2 - сколы эмали на режущих краях.
Арутюнова Екатерина Ашотовна
Зав. отделением ортодонтии на Арбате
Стаж более 8 лет
★★★★★ 5.0
Хочу консультацию
Оставьте заявку на запись на бесплатную консультацию ортодонта
В консультацию входит 3D-диагностика, визуализация вашей новой улыбки, индивидуальный план лечения, расчёт стоимости «под ключ».
Нажимая на кнопку «Бесплатная консультация», вы соглашаетесь с политикой конфиденциальности.
Оставьте заявку на запись на бесплатную консультацию ортодонта