Арбат
Сокольники
Поиск
Пн-Вс с 9:00 до 21:00
+7 (499) 681-95-69
Обратный звонок
Онлайн запись
Услуги
Врачи
Цены
Работы
Акции
Блог
О нас
Новости
Пресса о нас
Отзывы
Контакты
Я пациент
Главная
Работы
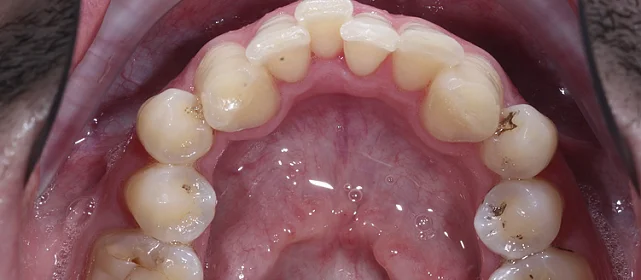
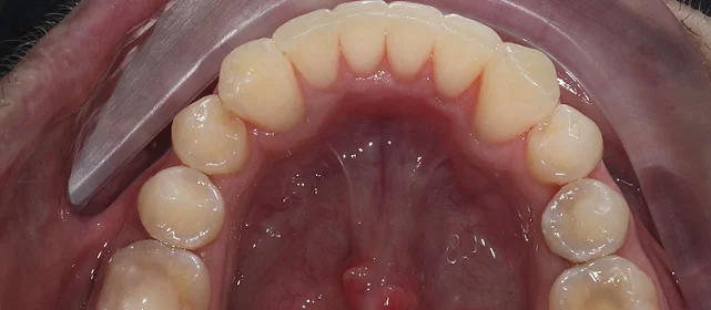
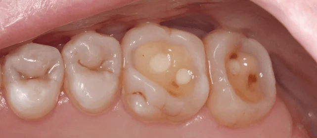
Реставрация
Реставрация
У меня похожий случай
Дата публикации: 01.04.26
Фотографии опубликованы с согласия пациента
Толова Саида Артуровна
Стоматолог - терапевт
Стаж более 8 лет
★★★★★
5.0
Хочу консультацию
Другие работы
Исправление открытого прикуса у подростка
Врач:
Сантросян Анна Айказовна
Подробнее
Лечение скученности зубов на брекет-системе
Врач:
Дьячкова Инна Владимировна
Подробнее
Восстановление эстетики с помощью виниров и вкладок (часть 2)
Врач:
Мирзоев Фарзон Мирославович
Подробнее
Исправление сужения ВЗР и НЗР элайнерами Invisalign
Врач:
Арутюнова Екатерина Ашотовна
Подробнее
Лечение кариеса зубов
Врач:
Толова Саида Артуровна
Подробнее
Оставьте заявку на запись на бесплатную консультацию ортодонта
В консультацию входит 3D-диагностика, визуализация вашей новой улыбки, индивидуальный план лечения, расчёт стоимости «под ключ».
Нажимая на кнопку «Бесплатная консультация», вы соглашаетесь с
политикой конфиденциальности
.
Услуги
Врачи
Цены
Работы
Акции
Блог
О нас
Новости
Пресса о нас
Отзывы
Контакты
Я пациент
Чат-бот для пациентов
Telegram
8 (499) 681-95-69