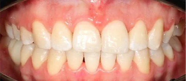
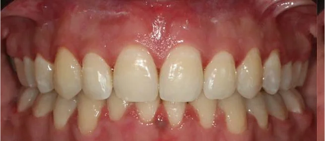
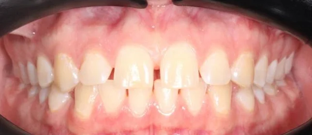
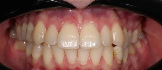
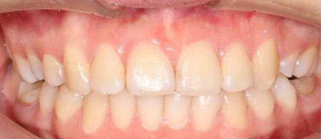
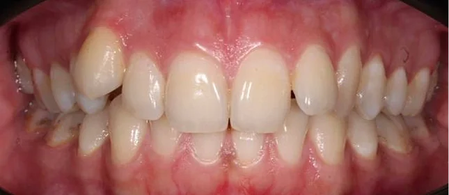
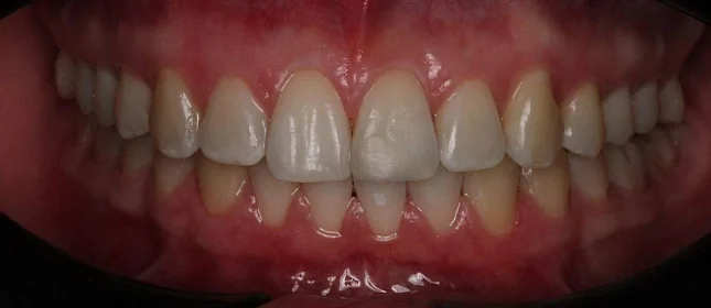
Работы наших врачей
Больше 12000 пациентов за 8 лет работы. На этой странице — часть новых улыбок, вылепленных нашими руками.
Лечащий врач
Ведущий стоматолог-ортодонт
Стаж более 11 лет
Лечащий врач
Ортодонт
Стаж более 8 лет
Лечащий врач
Ортодонт
Стаж более 8 лет
Лечащий врач
Ортодонт
Стаж более 5 лет
Лечащий врач
Ортодонт
Стаж более 8 лет
Лечащий врач
Ведущий стоматолог-ортодонт
Стаж более 11 лет