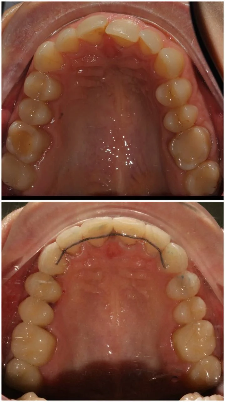
Выровняли и подготовили к реставрации зубы на керамических брекетах Damon за 14 месяцев

Выровняли и подготовили к реставрации зубы на керамических брекетах Damon за 14 месяцев

У меня похожий случай
Итоги по кейсу
Пол
Женский
Возраст
33 года
Жалоба
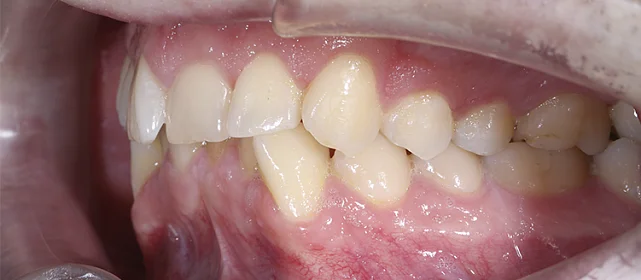
Неровные зубы, неправильный прикус.
Диагностика
Глубокий прикус — верхние зубы слишком сильно перекрывали нижние. Обе челюсти сужены, зубам не хватало места. Верхняя челюсть выступала вперёд относительно нижней с обеих сторон (II класс по Энглю).
План лечения
Металлические самолигирующие брекеты Damon на обе челюсти. Расширить зубные дуги, выровнять зубы, исправить глубокий прикус и нормализовать смыкание.
Ход лечения
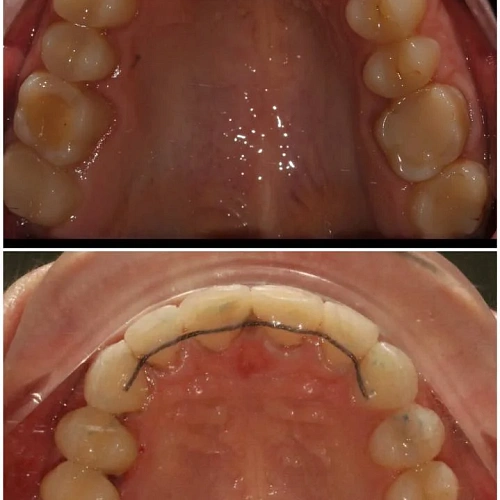
Ретенция проводилась поэтапно: сначала ретейнер и капа на нижнюю челюсть, затем на верхнюю. Пациентка параллельно наблюдалась у ортопеда.
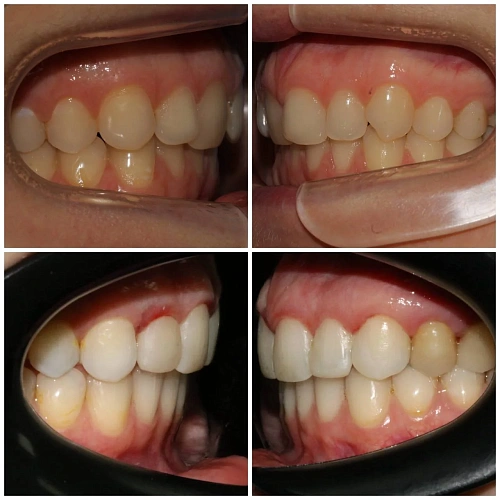
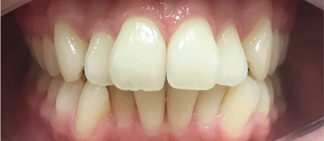
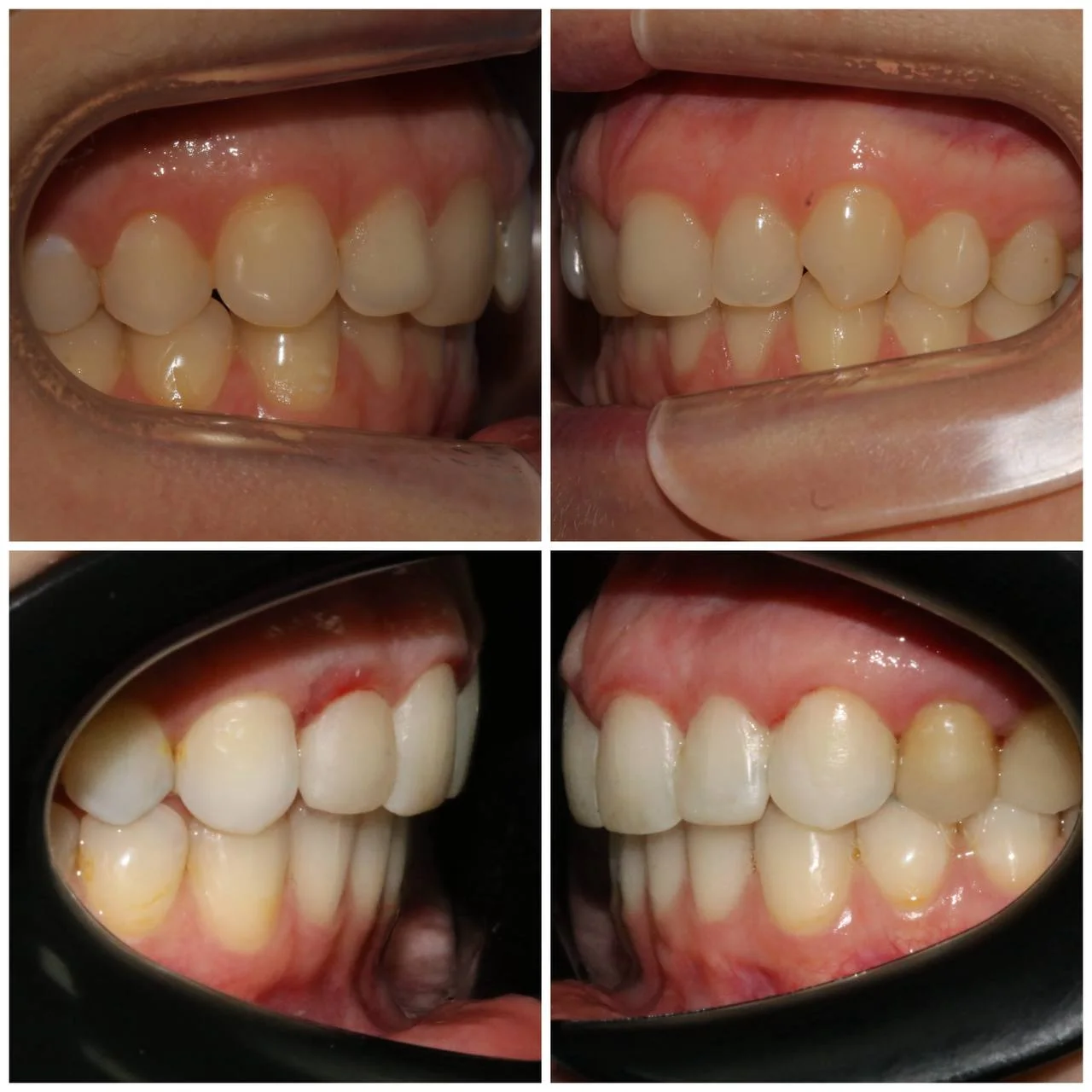
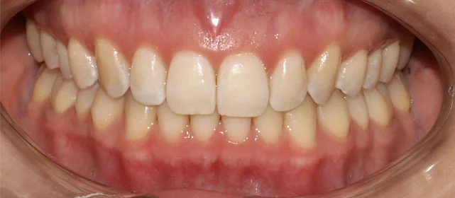
Результат
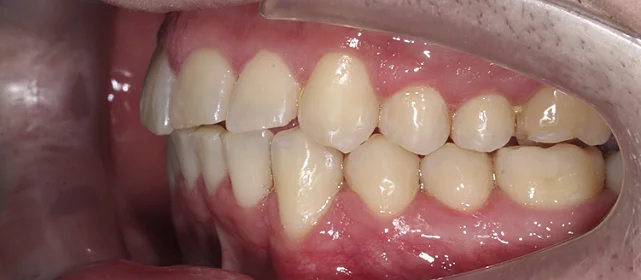
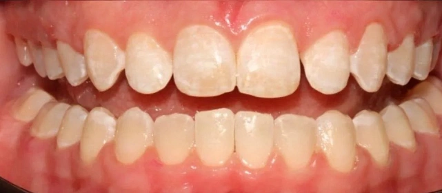
Зубы выровнены, глубокий прикус исправлен, смыкание нормализовано. Установлены несъёмные ретейнеры на обе челюсти, изготовлены ретенционные капы. Ортопедический этап пройден у Повтарь В.В.

Дата публикации: 09.04.26

Фотографии опубликованы с согласия пациента

Проблема: Пациентку не устраивало положение зубов — они стояли неровно, а челюсти смыкались неправильно. Помимо самих зубов, часть из них нуждалась в реставрации, но восстанавливать их до выравнивания не имело смысла. Сначала ровный ряд, потом всё остальное.
Решение: Установили брекеты на обе челюсти. За 14 месяцев зубы встали в правильное положение, смыкание пришло в норму. После снятия брекетов зафиксировали ретейнер на нижнюю челюсть. Далее по плану будет отреставрирован верхний ряд, затем и туда будет установлен ретейнер. В самом конце будет проведена ортопедическая реабилитация. Этот тот случай, когда ортодонтия только первый этап комплексного лечения сложной проблемы.
Куканова Алена Витальевна
Стоматолог - ортодонт
Стаж более 5 лет
★★★★★ 4.9
Хочу консультацию
Отзыв пациента
Долго сомневалась, но решилась. 14 месяцев пролетели быстрее, чем я думала. Первую неделю было непривычно, потом перестала замечать. Сейчас впереди ещё реставрации, но зубы уже ровные — и это видно. Жалею только о том, что не начала раньше.
Комментарий врача
Случай потребовал поэтапного подхода: сначала ортодонтия, потом реставрации, потом ортопедия. Менять порядок нельзя — если реставрировать зубы до выравнивания, нагрузка ляжет неравномерно, и работа долго не простоит. Брекеты справились за 14 месяцев — быстро для комплексного случая. Сейчас ряд готов к следующему этапу.
Куканова Алена Витальевна
Стоматолог - ортодонт
Оставьте заявку на запись на бесплатную консультацию ортодонта
В консультацию входит 3D-диагностика, визуализация вашей новой улыбки, индивидуальный план лечения, расчёт стоимости «под ключ».
Нажимая на кнопку «Бесплатная консультация», вы даёте согласие на обработку персональных данных.
Оставьте заявку на запись на бесплатную консультацию ортодонта