Неправильный прикус может сформироваться по разным причинам, но всегда доставляет неудобства. Смещение зубов в неправильное положение вызывает сложности во время гигиены, затрудняет доступ к ним во время лечения, становится причиной асимметрии лица и нарушает эстетику улыбки. Исправьте это с помощью брекетов, которые можно поставить в нашей клинике в Москве — позже вы сможете поблагодарить себя за это решение!
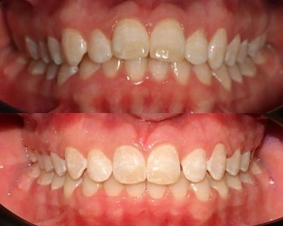
Брекеты позволяют избавиться от скученности, устранить межзубные промежутки и получить ровные зубы. Длительность и стоимость терапии зависят от клинической картины. В зависимости от того, в пользу каких брекетов вы решили сделать выбор, коррекция может занять от 6 месяцев до двух лет.
Показания к установке брекетов на зубы
- Большие межзубные промежутки;
- Неполное смыкание челюстей;
- Скученность;
- Смещение одного или нескольких зубов, искривление рядов;
- Непропорциональное развитие верхней и нижней челюсти;
Противопоказания
- Аллергия на материалы;
- Декомпенсированный сахарный диабет;
- Неврологические или психические расстройства;
- Отсутствуют опорные единицы;
- Патологии десен, костной ткани.
Виды брекетов
Брекеты помогают выправить неправильное положение зубов и челюстей, улучшая прикус. Это может решить проблемы с жеванием, дикция и эстетикой улыбки.
Правильный прикус облегчает очищение зубов, уменьшая риск кариеса, пародонтита и других заболеваний полости рта. Корректное положение зубов с помощью брекетов может предотвратить различные проблемы в будущем, такие как износ зубов, переломы зубов и расстройства челюстно-лицевой области.
Чтобы вы поняли, чем отличаются разные виды брекетов, сначала узнайте, из каких элементов состоит любая брекет-система:
- Замки-основания
Брекеты представляют из себя замочки, которые устанавливаются вручную прямым либо непрямым способом фиксации на зубы.
- Силовая дуга
После установки они соединяются с помощью дуги, у которой есть память формы. Благодаря памяти идеальной формы дуги зубы начинают передвигаться, постепенно выравниваются и принимают правильное положение.
- Фиксирующая фурнитура
Необходима, чтобы закрепить дугу в пазах. Может выглядеть как эластичные резинки (лигатуры), кольца из металлической проволоки или встроенные защелки.
- Металлические брекеты
Надёжный способ исправления прикуса, который идеально оправдывает свою цену. Недороги. Визуально заметны, но это компенсируется высокой эффективностью лечения и точностью перемещения зубов. При довольно скромной эстетике мы получаем надёжный результат.
- Керамические брекеты
Малозаметны на зубах и имеют гладкую отполированную поверхность, которая не царапает слизистую. В клинике ПроПрикус мы работаем с металлическими керамическими брекетами. Кроме эстетики, отличий между ними нет.
- Брекеты Damon
Премиальные самолигирующие ускоренного действия от бренда Ormco.
- Брекеты Damon Q
Имеют миниатюрные размеры и эстетичный вид, плюс отсутствие лигатур снижает травматичность.
- Брекеты Damon Clear
Бесцветные брекеты для зубов из поликристаллического керамического материала.
- Брекеты для детей
Детские брекеты практически полностью аналогичны взрослым моделям, подходят для ношения с 14 лет.
- Капы для детей
Приятная и комфортная альтернатива лечению брекетами для детей и подростков — элайнеры. Их назначают в более простых клинических случаях с 5-6 лет.
- Ретейнеры для зубов
Ретейнеры бывают несъемные металлические, съемные из пластика с регулировочными петлями/кламмерами, а также могут выглядеть как прозрачные каппы из акрила и пластика.
Узнайте стоимость лечения элайнерами за 30 секунд!
Как проходит процесс лечения на брекетах
На первом осмотре оценивается состояние всего зубодесневого комплекса, исключаются возможные противопоказания. При необходимости назначаются дополнительные диагностические исследования, необходимые для составления терапевтической схемы: панорамный рентген-снимок (ортопантомограмма), компьютерная томография (КТ) и другие процедуры. Стоматолог - ортодонт проводит 3D обеих челюстей пациента для создания ортодонтической конструкции.
Подготовка к ношению брекетов
Если на первом этапе коррекции в полости рта были обнаружены очаги инфекции, то потребуется комплексная терапия. Стоматологом-терапевтом выполняется полная санация полости рта: лечатся связанные болезни десен, устраняются кариозные поражения зубов, проводится пломбирование, убираются минерализованные отложения из пародонтальных карманов. При наличии «лишних» единиц в рядах их удаляет хирург. До установки брекетов на зубы также должна быть проведена полноценная профгигиена.
Как ставят брекеты на зубы
Вначале система устанавливается на верхнюю челюсть, потом на нижнюю. Брекеты ставятся на все зубы от седьмого до седьмого наверху и внизу. Сначала доктор изолирует зубной ряд от слюны, обрабатывает и высушивает его, а затем аккуратно крепит брекеты на каждую единицу поочередно в соответствии с их положением на 3D-модели. Для этого используется медицинский клей, застывающий при воздействии УФ-лучей. Вся процедура занимает от 1 до 3 часов.
Ортодонтическая коррекция
Брекеты представляет из себя замочки, которые устанавливаются вручную прямым либо непрямым способом фиксации на зубы и после установки соединяются с помощью дуги, у которой есть память формы. Благодаря памяти идеальной формы дуги зубы начинают передвигаться.
Силовая дуга начинает оказывать действие на зубы сразу после того, как её закрепляют в конструкции. В течение первого времени дуга особенно сильно давит на часть зубов, но по мере изменения прикуса давление будет ослабевать, что потребует перенастройки всей системы. Процесс перенастройки называется ортодонтической коррекцией, и ортодонт делает её раз в 1-2 месяца. Длина интервала между визитами зависит от выбранного типа брекетов.
Снимаем брекеты
После снятия аппарата ортодонтическое лечение не завершается, ведь нужно закрепить эффект. Для этого используют, например, несъемные ретейнеры из металла, которые крепят на композит с внутренней стороны зубного ряда, или съемные — их надевают ежедневно на ночь. Носят ретейнеры от полугода до нескольких лет.
Установка брекетов способна помочь в деле коррекции почти любых аномалий прикуса, кроме требующих хирургического вмешательства. Брекеты подходят для большинства пациентов, независимо от их возраста и сложности случая. А разнообразие систем — от металлических до керамических и самолигирующих — позволяет каждому пациенту выбрать вариант по вкусу и кошельку.
Есть ли у брекетов недостатки?
Брекеты заметны при улыбке — в большей/меньшей степени, что зависит от модели и производителя, тем не менее видны всегда. Кроме того, из-за сложной формы они способствуют скоплению налёта на эмали, поэтому зубы нуждаются в особом уходе.
Альтернативы брекетов для зубов
При наличии различных противопоказаний к брекетам или с учетом высказанных пожеланий, стоматолог может подобрать другие ортодонтические аппараты для выравнивания зубов:
-
Пластинки ретенционные
-
Элайнеры
Изготавливаются под заказ из прочных биосовместимых материалов, не вызывают аллергических реакций. Состоят из винтовых механизмов, прикрепленных к прочному базису. Крепятся с обратной стороны зубного ряда, что позволяет не чувствовать дискомфорта во время разговора.
Каппы из полимерных материалов. Не влияют на дикцию и полностью прозрачны, поэтому заметить их можно только при детальном рассмотрении. Стоит понять, что с ними лечение хоть и дороже, но зато проходит комфортно и без боли. Изготавливаются комплектами в соответствии со слепками челюстей. По ходу курса лечения пары заменяются в порядке строгой очередности.
Преимущества лечения на брекетах в нашей стоматологии
- Современное оборудование, высококачественные материалы. Теперь, благодаря новому высокотехнологичному оснащению нашей стоматологии, лечение у нас ещё более удобное и показывает наибольшую эффективность
- Стоимость. Предлагаем наиболее выгодные варианты, а также гарантию на работы и рассрочку.
- Расположение клиники. Поставить брекеты можно в нашей стоматологии, а работаем мы прямо в центре Москвы.

В первые 2-3 часа после того, как Вы вышли из кабинета ортодонта после установки брекетов на зубы, желательно ничего не есть и не пить. Так адгезив, которым брекеты зафиксировали на эмали, успеет затвердеть на 100% и не окрасится от еды/напитка.
Плюсы и минусы брекетов
Выравнивание зубов брекетами имеет ряд преимуществ:
- эффективны в устранении аномалий разной формы и тяжести;
- возможность исправления открытого, мезиального, перекрестного, дистального и/или глубокого прикуса;
- высокая эффективность лечения;
- доступность — установить можно во многих стоматологиях;
- пациенты самостоятельно выбирают материал и тип конструкции — металлические, сапфировые, керамические, с лигатурами и без.
Но известны также некоторые недостатки брекетов (помимо распространенного мнения о том, что боль и страх — это неизменные спутники данного типа ортодонтического лечения):
- осложненная гигиена, повышенный риск развития кариеса;
- ограничения в питании — из-за слишком твердых продуктов (козинаков, снеков и т. д.) ломаются, отпадают;
- керамика и сапфировые модели окрашиваются красителями из еды и напитков;
- есть риск повредить губы о края замочков.
