Лечение неправильного прикуса зубов на элайнерах Click Aligners за 23 месяца

Лечение неправильного прикуса зубов на элайнерах Click Aligners за 23 месяца

У меня похожий случай
Итоги по кейсу
Пол
Женский
Возраст
26 лет
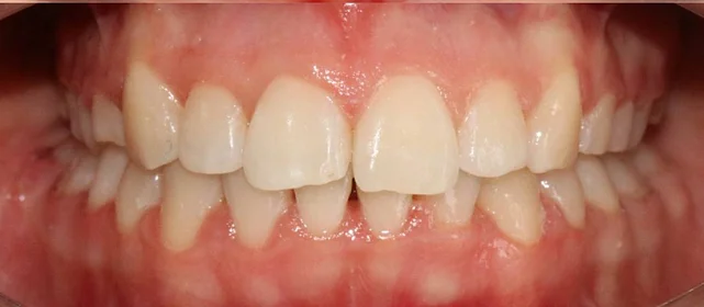
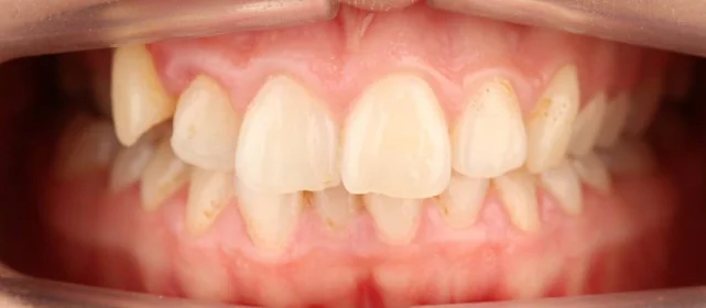
Жалоба
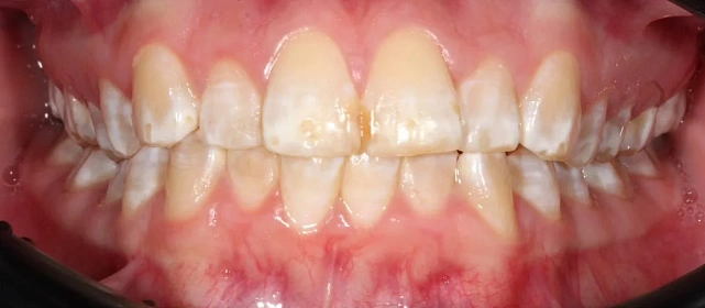
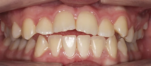
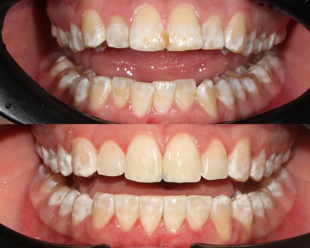
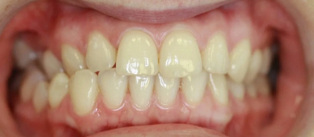
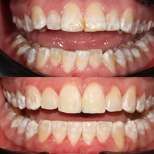
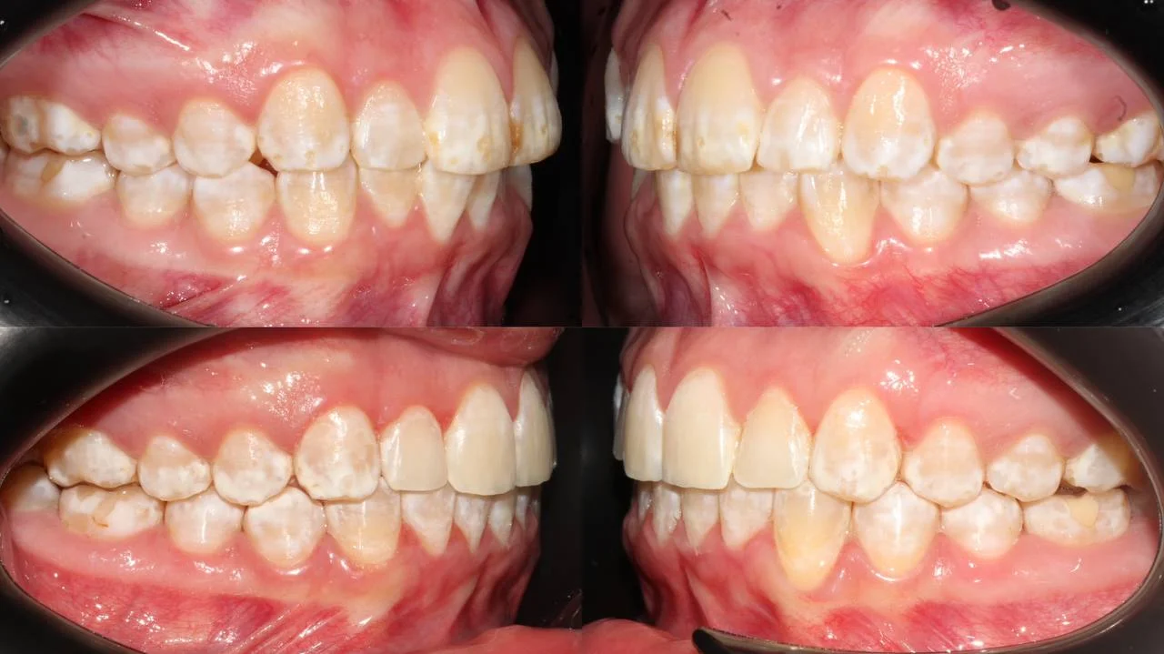
Неправильное положение зубов, неправильное смыкание.
Диагностика
Нарушение соотношения челюстей и неправильное положение зубов — зубные ряды смыкались некорректно, зубы стояли со смещением.
План лечения
Прозрачные элайнеры Click на обе челюсти. Выровнять зубы и нормализовать смыкание. Основной набор — 20 кап. Срок — около 1 года.
Ход лечения
Лечение заняло 23 месяца (октябрь 2023 — сентябрь 2025). Понадобился один дополнительный набор из 10 кап — итого 30 кап.
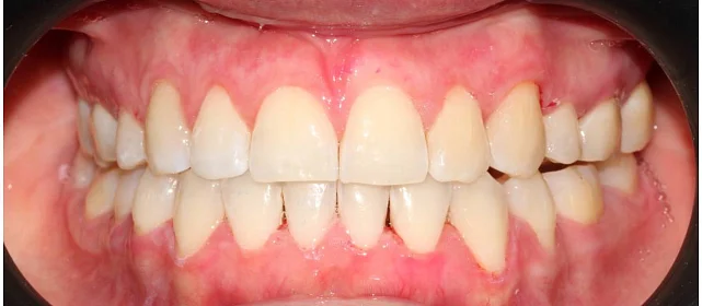
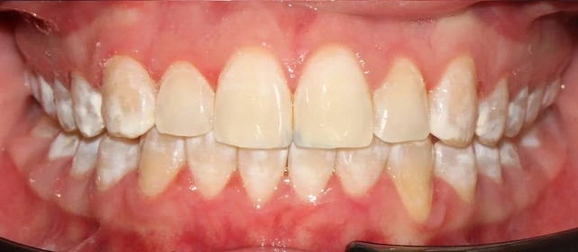
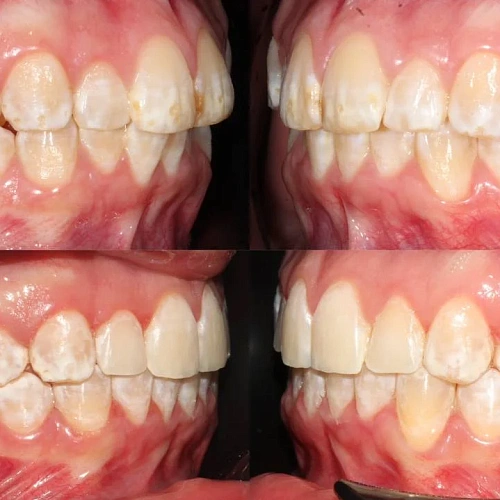
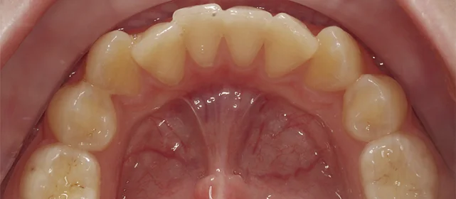
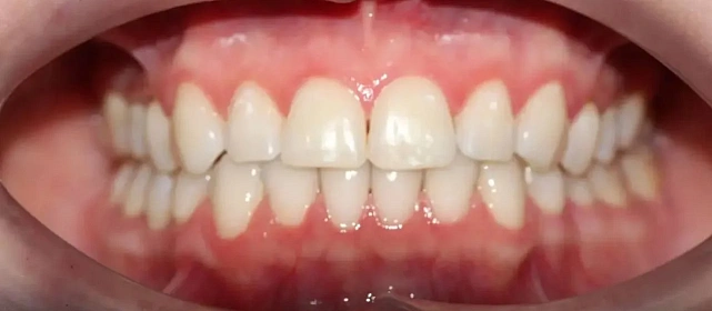
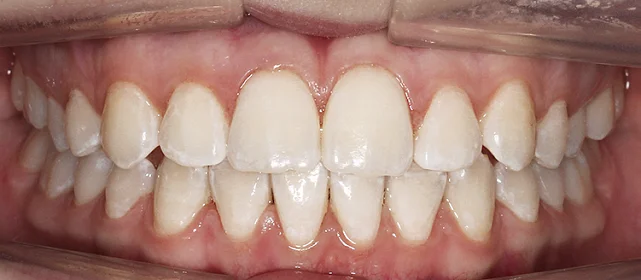
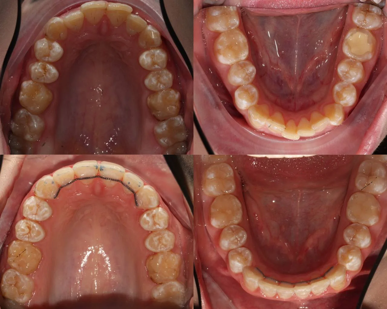
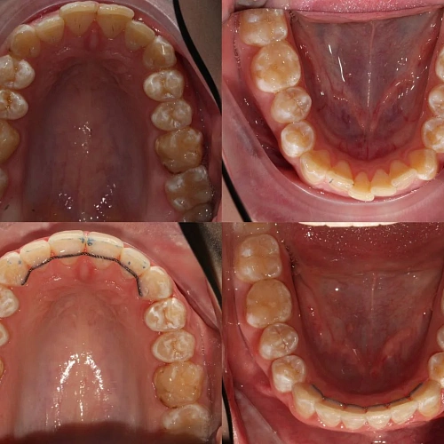
Результат
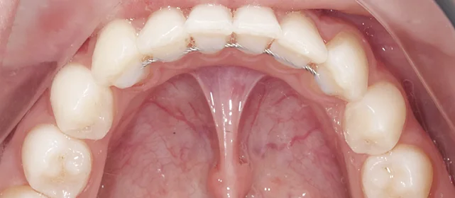
Зубы выровнены, смыкание нормализовано. Установлены несъёмные ретейнеры на обе челюсти, сняты сканы для ретенционных кап.

Дата публикации: 03.04.26

Фотографии опубликованы с согласия пациента

Проблема: Пациентку не устраивало положение зубов и то, как смыкаются челюсти. Зубы стояли неровно, ряды сходились неправильно.
Решение: Поставили прозрачные элайнеры Click — начали с компактного набора из 20 кап. Основной комплект сделал основной объем работы, но для финальной доводки понадобился дополнительный набор из 10 кап. Итого 30 кап за 23 месяца. Результат — зубы на месте, смыкание в норме. Зафиксировали ретейнеры на обе челюсти, сняли сканы для ретенционных кап.
Арутюнова Екатерина Ашотовна
Зав. отделением ортодонтии на Арбате
Стаж более 8 лет
★★★★★ 5.0
Хочу консультацию
Отзыв пациента
Мне поставили всего 20 кап, и я думала — за полтора года управлюсь. Вышло чуть дольше, потому что потребовался дозаказ. Но 10 дополнительных кап — это мелочь по сравнению с основным лечением. Зато результат довели до конца, а не остановились на «почти ровно».
Комментарий врача
Небольшой по объёму случай — 20 кап в основном наборе. Этого хватило для основного выравнивания, но финальная коррекция смыкания потребовала ещё 10 кап. Предпочитаю доработать, чем оставить компромиссный результат. 30 кап за 23 месяца — спокойный темп, без спешки.
Арутюнова Екатерина Ашотовна
Зав. отделением ортодонтии на Арбате
Оставьте заявку на запись на бесплатную консультацию ортодонта
В консультацию входит 3D-диагностика, визуализация вашей новой улыбки, индивидуальный план лечения, расчёт стоимости «под ключ».
Нажимая на кнопку «Бесплатная консультация», вы даёте согласие на обработку персональных данных.
Оставьте заявку на запись на бесплатную консультацию ортодонта