Гранулема зуба

Некоторые стоматологические проблемы не проявляются на ранних стадиях заболевания, обнаруживаясь совершенно случайно на рентгеновском снимке или с началом развития осложнений. К таким патологиям относится гранулема. Рассмотрим в статье, какие клинические проявления дает этот процесс и можно ли его вылечить.
3106
Время на прочтение: 5 мин.
Толова Саида Артуровна
Информация проверена экспертом клиники ПРОПРИКУС
Стоматолог - терапевт
Стаж более 8 лет
★★★★★ 5.0

Некоторые стоматологические проблемы не проявляются на ранних стадиях заболевания, обнаруживаясь совершенно случайно на рентгеновском снимке или с началом развития осложнений. К таким патологиям относится гранулема. Рассмотрим в статье, какие клинические проявления дает этот процесс и можно ли его вылечить.

Гранулема - что это?

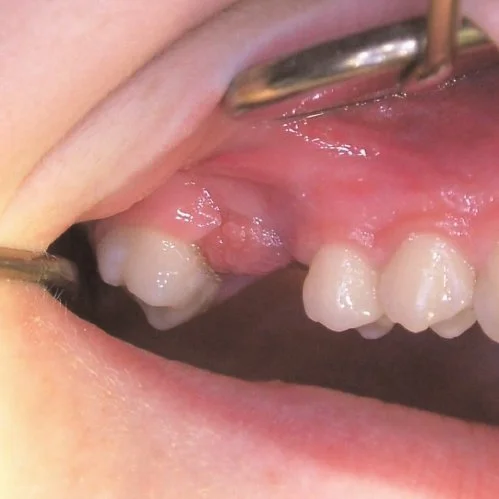
Гранулема - это локальное воспаление в тканях пародонта, ограниченное плотной соединительной тканью. Патологическому росту грануляционной ткани или эпулису способствует инфицирование при пародонтите, после экстракции зуба или стоматологического лечения корневых каналов.

гранулема зуба - изображение 1

Виды гранулемы зуба

С учетом локализации очага, гранулематозный периодонтит бывает:

  • Апикальный. Распространенная форма. Локализуется в области апикального отверстия;
  • Межкорневой. Обнаруживаются в зоне расхождения каналов зуба;
  • Прикорневой. Воспалительный очаг изначально локализуется вблизи корневых каналов, но при отсутствии лечения он мигрирует в ткани подкожной жировой клетчатки и кожу.

Особенности заболевания

В полости гранулемы находится скопление клеток иммунной системы, активно борющихся с воспалительным процессом. Образование разрушает костные ткани в точке поражения. Для прогрессирования патологии характерно несколько стадий:

  • Болезнетворная микрофлора скапливается в корневой части зуба;
  • Ткани корня воспаляются, на фоне чего образуется полостное образование, наполненное гноем;
  • Эпулис постепенно прорастает в прилегающие мягкие и костные ткани, провоцируя их отмирание;
  • Полость с гноем увеличивается в размерах. Появляются первые признаки дискомфорта.
гранулема зуба - изображение 2

Киста или гранулема?

Врачи считают, что определить вид патологии можно, ознакомившись с рентгеновским снимком. Киста на рентгене выглядит как кольцевидная полость с четкими границами, сформированная соединительной тканью и наполненная жидким содержимым. Секрет кисты производится оболочкой образования, поэтому она быстро увеличивается в размерах.

Гранулема растет исключительно за счет поражения прилегающих тканей, заключающих инфицированные клетки. На рентгене она выглядит как темное пятно в корневой части зуба.

Причины

Воспаление может находиться в любой части зубного корня, но чаще в зоне верхушки. Из-за вялотекущего течения, гранулема редко выявляется вовремя, поэтому высока вероятность осложнений. Врачи выделяют несколько причин ее развития:

  • Нелеченый кариес и пульпит. Приводит к распространению инфекции из пульпы на прилегающие ткани. Если не заниматься лечением зуба, пульпа погибает, боль на время уходит, но проблема воспаления остается в силе. Патогенная флора формирует в каналах новые очаги;
  • Низкое качество эндодонтического лечения. Гранулема появляется на фоне некачественного пломбирования каналов. В оставшихся пустотах развивается инфекция, при ослаблении иммунной системы она активируется, что приводит к росту воспаления;
  • Травма. При серьезной травмирующей ситуации, которая привела к разлому зуба, бактерии могут проникнуть внутрь к корневым каналам, провоцируя образование гранулемы.
киста гранулема зуба

Симптомы при гранулеме зуба

Хронический гранулематозный процесс часто не имеет симптомов. Лишь изредка допустимы боли при надкусывании, дискомфорт на прием кислой или холодной пищи. При снижении иммунитета или развития осложнений, симптомы гранулемы будут следующими:

  • Нарастающая болезненность при жевании и касании зуба;
  • Локальный отек и гиперемия в зоне воспаления;
  • Появление гноя между тканями десны и коронкой, иногда сопровождающегося клиническими признаками периостита или флюса.

Лечение гранулемы зуба в Москве

Выбор метода лечения определяют параметры образования и реальное состояние корней зуба. Для этого проводится диагностика, основанная на рентгенографии или радиовизиографии.

Терапевтическое лечение

Рекомендовано при образованиях небольших размеров - до 5 мм. С учетом состояния зуба, тактика лечения будет разной.

Если ранее каналы не были запломбированы, стоматолог:

  • Убирает кариозные ткани и пломбировочный материал (если есть);
  • Готовит стенки каналов, промывая их антисептиками;
  • Пломбирует канал сразу, если размер гранулематозного очага не превышает 3 мм или устанавливает временную пломбу с гидроокисью кальция при очагах до 5 мм.
как вылечить гранулему зуба

Если каналы были запломбированы раньше, стоматолог:

  • Убирает коронку, выполняет распломбировку каналов;
  • Готовит стенки каналов, обрабатывает их антисептиком;
  • Выполняет пломбирование временной или постоянной пломбой с учетом размеров воспаления;
  • Ставит новую коронку, если прежде она стояла.

Затем пациенту подбирается антибактериальная терапия и назначается повторный визит. Если пломбирование было временным, специалист:

Терапевтический метод считается эффективным и быстрым в отношении гранулематозной инфекции. При строгом соблюдении протокола он дает отличные результаты.

гранулема зуба лечение

Хирургическое лечение

Направлено на ликвидацию воспалительного очага, резекцию пораженной части корня либо экстирпацию зуба. Показаниями становятся сложные каналы, присутствие штифта в корне после предыдущего пломбирования либо крупные гранулематозные очаги - более 6 мм.

Применяемые хирургические методики:

  • Апиоэктопия - зубосохраняющая процедура, основанная на частичном иссечении корня с воспалительным очагом;
  • Гемисекция - методика, предполагающая удаление пораженного корня многокорневых зубов вместе с участком воспаления с частичным захватом коронкового фрагмента;
  • Удаление зуба. Показано при остром апикальном периодонтите, трещине в корне, невозможности адекватного лечения гранулемы и отсутствии условий для перелечивания каналов.

Осложнения при гранулеме

Если игнорировать лечение гранулемы, возможны следующие осложнения:

  • Разрушение корней, что ведет к утрате зуба;
  • Формирование абсцесса;
  • Пиогенное(гнойное) поражение челюсти или остеомиелит.

Представляя инфекционный очаг, гранулематозный периодонтит может спровоцировать гайморит, воспаление тройничного нерва и даже почек.

гранулема зуба лечится

Профилактика

Эффективными методами профилактики гранулемы являются:

  • Регулярные осмотры и профгигиена у стоматолога;
  • Своевременное стоматологическое лечение.

Так как эндодонтическое лечение может спровоцировать риск поражения периодонта, не стоит запускать разрушение зуба кариесом до необходимости пломбировки каналов. Если избежать этого не удалось, следует внимательно отнестись к выбору стоматолога. Профессионализм врача имеет значение — опытный специалист не допустит ошибок и осложнений, следуя врачебному протоколу.

Если вы в поисках хорошей стоматологии с услугой лечения гранулемы - посетите клинику ПРОПРИКУС. Предлагаем диагностику и терапию гранулемы, а также других осложнений кариеса. Звоните и записывайтесь на прием к доктору в удобное для вас время. Все терапевтические мероприятия проводятся безболезненно и качественно квалифицированными специалистами с высоким процентом сохранения зуба.

Заявка на бесплатную консультацию
В консультацию входит 3D-сканирование, визуализация вашей новой улыбки, индивидуальный план лечения, расчёт стоимости «под ключ»
Нажимая на кнопку «Бесплатная консультация», вы даёте согласие на обработку персональных данных.
Заявка на бесплатную консультацию

Запишитесь на бесплатное 3D моделирование будущей улыбки!

+ рассрочка 0% на лечение
Запишитесь на бесплатное 3D моделирование будущей улыбки!

Почему выбирают ПРОПРИКУС

11000+ пациентов

Исправляют у нас прикус и лечат зубы в целом

835 пациентов

Пришли из других клиник, потому что там не решили их проблему

более 45% новых пациентов

Приходят к нам по рекомендации тех, кто уже лечится

100% гарантия

На все виды лечения и рассрочка на все услуги

Подходящие услуги

Установка элайнеров
Установка элайнеров
Элайнеры – это прозрачные капы из тонкого медицинского пластика мягко и точно перемещают зубы в нужное положение.
Узнать подробнее
Консультация ортодонта
Консультация ортодонта
Каждый пациент заинтересован, чтобы его лечил лучший ортодонт. Во время осмотра понаблюдайте, комфортно ли вам находиться рядом с врачом.
Узнать подробнее
Установка брекетов
Установка брекетов
Брекеты позволяют избавиться от скученности, устранить межзубные промежутки и получить ровные зубы. Длительность и стоимость терапии зависят от клинической картины.
Узнать подробнее
Лечение кариеса
Лечение кариеса
Кариес – поражение твердых тканей зубной единицы. Возникает при воздействии бактерий в полости рта. Сначала начинается деминерализация эмали.
Узнать подробнее
Лечение периодонтита
Лечение периодонтита
Периодонтит - сильное воспаление окружающих тканей зубной единицы. В голове человека расположено множество нервных волокон и кровеносных сосудов.
Узнать подробнее
20
638
/blog/lechenie/granulema-zuba/
50
2000
comment@vnikuda.ru
/bitrix/components/ktoto/comments

Оставить комментарий


Оставьте заявку на запись на бесплатную консультацию ортодонта
В консультацию входит 3D-диагностика, визуализация вашей новой улыбки, индивидуальный план лечения, расчёт стоимости «под ключ».
Нажимая на кнопку «Бесплатная консультация», вы даёте согласие на обработку персональных данных.
Оставьте заявку на запись на бесплатную консультацию ортодонта