Чистка зубов

Возможна оплата в кредит
или рассрочку 0% на 24 мес.
2133
Время на прочтение: 5 мин.
Чистка зубов
Кламм Алиса Вячеславовна
Информация проверена экспертом клиники ПРОПРИКУС
Стоматолог-гигиенист
Стаж более 14 лет
★★★★★ 4.9

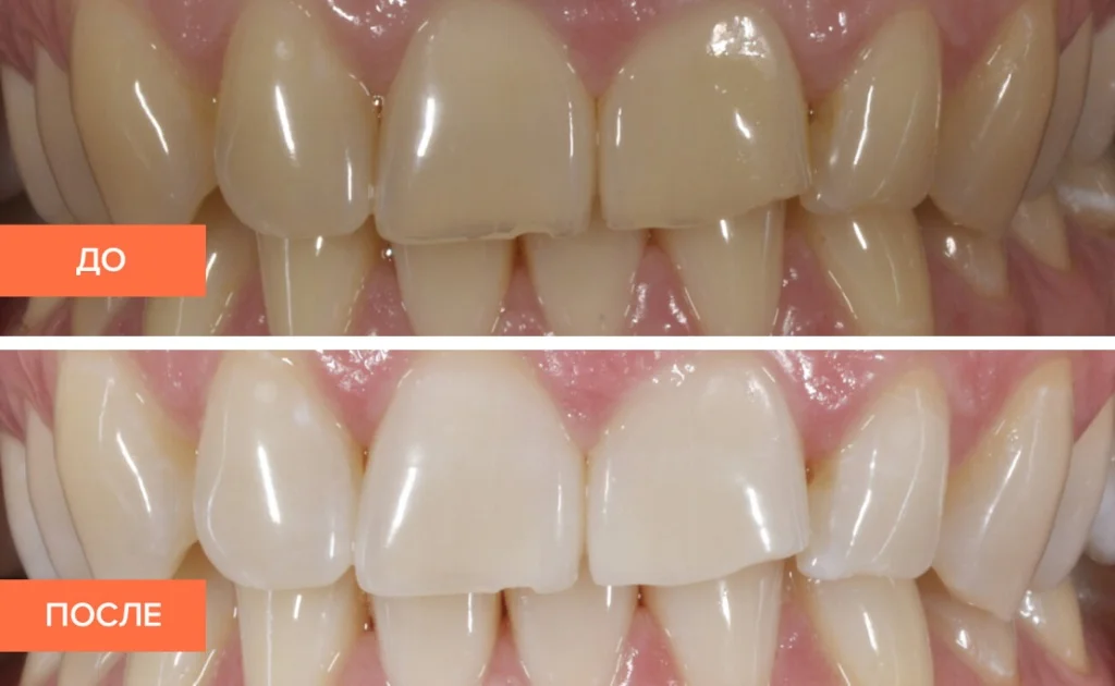
После еды образуются вредоносные бактерии. Со временем появляется темный налет. Развиваются камень, кариес. Воспаляются десна. Недостаточная гигиена – главная причина заболеваний зубов. Ежедневный уход обязателен для здоровья полости рта. Но этого недостаточно. Для сохранения крепких зубов требуется профессиональная чистка в стоматологической клинике.

На процедуре применяются очищающие составы, специальные устройства. За сеанс удается удалить загрязнения в труднодоступных местах. Такого результата добиться дома невозможно даже самой дорогой зубной щеткой.

Когда необходима чистка зубов

Международная ассоциация стоматологов рекомендует проходить чистку раз в полгода. Это поможет сохранить природную силу эмали, убережет от кариеса и других осложнений. Гигиена в стоматологическом кабинете обеспечивает продление эффекта после отбеливания или лечения.

Гигиена показана при:

  • наличии налета;

  • развитии зубного камня;

  • воспалительном процессе;

  • пигментации эмали из-за курения или красящих продуктов;

  • профилактике кариеса или иных заболеваний.

Гигиенист рекомендуется перед лечением выявленных зубных заболеваний. Аккуратно выполненная процедура вернет потерянную белизну. При пломбировании врач подберет подходящий оттенок пломб. Гигиена важна и перед установкой протезов. К чистой эмали подбирается нужный оттенок коронки.

Преимущества профессиональной чистки зубов перед обычной

Гигиеническая чистка позволяет сохранять идеальную гигиену рта. Своевременно проведенный сеанс избавит от осложнений, неприятного запаха изо рта, желтизны. После одной чистки эмаль осветляется на 1-2 тона. Комплексная гигиена сэкономит ваши деньги. Цены на услуги гораздо ниже лечения патологий. Дешевле предотвратить заболевание, чем полностью излечить его.

Эффекта от чистки в кабинете стоматолога не добиться дома. Ирригаторы, нити, дорогие зубные щетки и отбеливающие пасты не смогут привести вас к такому результату. Но помогут сохранять эффект после посещения клиники.

Этапы процедуры чистки зубов

Чистка проводится за один сеанс. Менее чем за час врачу удается избавить пациента от налета и глубоких загрязнений. Процедура состоит из нескольких этапов:

Подготовка

На консультации стоматолог расскажет об особенностях процедуры. При осмотре выявляется наличие кариеса, налета, камня или других патологий. Иногда пациента направляют на анализы. При получении полной картины гигиенист приступает к следующему этапу.

Ультразвук

Удаление зубного камня выполняется с помощью эффективного ультразвукового устройства. Ультразвуком избавляют поверхность от мягких и жестких отложений. Десна не травмируются. Эмаль не повреждается. Процедура абсолютно безопасна.

Воздушно-абразивный этап

Далее необходимо удалить зубные бляшки. Твердые отложения устраняются воздушно-абразивной методикой. Давление потока легко удаляет ненужные частицы. Пациент не испытывает неприятных ощущений.

Полировка

После очищения требуется качественная полировка. Для этого используется абразивная паста. Зубы становятся гладкими. Устраняются неровности, микротрещины. Это предотвратит преждевременное появление налета, сохранит пломбы от разрушения.

Защита

Последний этап не менее важен. Зубы покрываются фторсодержащим составом. Эмаль становится более крепкой. Чувствительность не повышается. После сеанса пациент не будет испытывать дискомфорт во время еды или гигиенических процедур.

Противопоказания к чистке зубов

Иногда врач вынужден отказать в проведении процедуры. К противопоказаниям относятся:

  • сахарный диабет;

  • астма в тяжелой степени;

  • инфекции в острой стадии;

  • эпилепсия;

  • эрозионные поражения эмали;

  • выраженное воспаление слизистых;

  • повышенная чувствительность зубов;

  • детский возраст.

При желании выполнить гигиену, стоит рассказать врачу обо всех ваших заболеваниях. Даже если вы уверены, что они не относятся к данной услуге. Стоматолог подберет уход, подходящий именно для вас.

Профессиональная чистка зубов в Москве

В Москве избавиться от загрязнений полости рта поможет сеть ортодонтических стоматологий «ПРОПРИКУС». Профессиональная гигиена позволяет создать красивую улыбку без изъянов. Если развивается кариес, стоматолог обнаружит патологию на ранних стадиях. Очистится поверхность и улучшится состояние зубов. Эмаль осветлится до 2 тонов. Вы обретете чистые и здоровые зубы.

Подберем лучшее лечение

Приглашаем на бесплатную консультацию к ортодонту

  • Поставим правильный диагноз
  • Сделаем 3D-модель будущей улыбки
  • Предложим рассрочку

Запишитесь на бесплатную консультацию

Это бесплатно, безболезненно и очень полезно!

  • Сделаем 3D-модель улыбки;
  • Диагностируем что не так с прикусом;
  • Предоставим варианты лечения;

Консультация ничего не стоит и ни к чему вас
не обязывает.

Запишитесь на бесплатную консультацию

Стоимость на чистка зубов

Первичная консультация и диагностика
Бесплатно
Консультация главного врача-ортодонта
5 500 ₽
Консультация завотделением ортодонтии
4 500 ₽
Профессиональная комплексная биогигиена полости рта по методике GBT Child
8 600 ₽

Отзывы

Наши контакты

Клиника «Арбат»
Москва, ул. Большая Молчановка, 18
Метро Арбатская
Ежедневно с 9:00 до 21:00.
Клиника «Сокольники»
Москва, ул. Русаковская, 31 вход на 3-м этаже ТЦ "Сокольники"
Метро Сокольники
Ежедневно с 9:00 до 21:00.

Акции

Элайнеры по подписке
Элайнеры по подписке
  • 3D-диагностика и план лечения бесплатно
  • Рассрочка на весь срок лечения
  • Подарили уже 11000 улыбок за 8 лет
Подробнее
Ваша карта москвича – ключ к здоровой улыбке
Ваша карта москвича – ключ к здоровой улыбке
  • Скидка до 30 000 руб. на брекеты и элайнеры.
  • Скидка до 10% на другие стоматологические услуги.

Это не первый взнос, а чистое уменьшение итоговой стоимости вашего лечения.

Лечение кариеса, профессиональная чистка, отбеливание - экономьте на всех услугах!

Просто покажите вашу карту администратору при расчете.

Подробнее
Бесплатная консультация ортодонта до конца месяца
Бесплатная консультация ортодонта до конца месяца
+ 3D сканирование в подарок
  • Точный диагноз
  • 3D-визуализация вашего будущего результата
  • Персональный план лечения
Абсолютно бесплатно! Без обязательств.
Подробнее
Приводи друзей! За рекомендацию другу до 20000 бонусов в подарок.
Приводи друзей! За рекомендацию другу до 20000 бонусов в подарок.

Приводи друзей! За рекомендацию другу до 20000 бонусов в подарок.

Другу начисление до 10000 бонусов в подарок.

Узнай подробности у менеджера.

Подробнее
Фотосессия за виниры*
Фотосессия за виниры*
Ослепительная фотосессия от #ПРОПРИКУС в подарок!
Подробнее

Другие услуги

Чистка AirFlow
Чистка AirFlow
Чистка зубов Air Flow – современная стоматологическая технология и составной этап профилактики зубных заболеваний.
Подробнее
Ультразвуковая чистка зубов
Ультразвуковая чистка зубов
С помощью услуги ультразвуковой чистки зубов можно успешно удалить мягкие или плотные отложения с поверхности эмали.
Подробнее
Чистка зубного камня
Чистка зубного камня
Налёт образуется через 2-3 часа после чистки зубов. Он представляет собой липкую биоплёнку из бактерий и остатков еды.
Подробнее

Полезная информация

Капы и глубокий прикус
Капы и глубокий прикус
Исправить глубокий прикус у взрослых можно брекетами или элайнерами (прозрачными капами) — в большинстве случаев без хирургии. Метод подбирается индивидуально после диагностики: ключевой критерий — глубина перекрытия и наличие скелетной аномалии.
Виды прикуса
Виды прикуса
Прикус бывает правильный и неправильный. И отличия не столько в эстетике, сколько в функциональности зубочелюстной системы. Если она нарушена, значит, речь идет о патологических видах прикуса, при которых ортодонтическое лечение – необходимость.
Стерильность в клинике ПРОПРИКУС
Стерильность в клинике ПРОПРИКУС
Безопасность пациента – наш приоритет. Поэтому соблюдению стерильности в нашей клинике уделяется максимум внимания.
Страхи или реальность?
Страхи или реальность?
Кто же в детстве не боялся бормашины! Шумно, больно, непонятно… И несмотря на то, что современная стоматологическая аппаратура выглядит не такой пугающей, страх лечить зубы до сих пор существует. Причем одолевает он не только детей, но и многих взрослых. Как с ним справляться? Да и надо ли?
Керамические или сапфировые брекеты: какие лучше выбрать
Керамические или сапфировые брекеты: какие лучше выбрать
Керамические и сапфировые брекеты — два вида эстетических несъёмных систем для исправления прикуса. Оба незаметны на зубах, не дают аллергии и работают по одному принципу. Но материал, из которого сделаны замочки, определяет разницу в прозрачности, поведении дуги в пазу и сроках лечения. Разбираемся, чем именно отличаются эти системы и в какой ситуации каждая из них подходит лучше.
Брекеты при скученности зубов
Брекеты при скученности зубов
Дьячкова Инна Владимировна, врач-ортодонт ПРОПРИКУС, разбирает: как степень дефицита места определяет тактику лечения, в каких случаях удаления зубов можно избежать, чем отличаются типы брекет-систем при разной тяжести скученности и почему без ретейнера результат не держится.
Вестибулярные брекеты: виды, установка и сроки лечения
Вестибулярные брекеты: виды, установка и сроки лечения
Вестибулярные брекеты — самая распространённая ортодонтическая система в мире. В этой статье разберём, как устроена конструкция, какие бывают виды по материалу и типу фиксации, кому подходит лечение и сколько оно стоит.
Лингвальные брекеты: что это, как работают и сколько стоит лечение
Лингвальные брекеты: что это, как работают и сколько стоит лечение
Лингвальные брекеты — это внутренние брекет-системы, которые крепятся к зубам со стороны языка и абсолютно невидимы при разговоре и улыбке. В статье разбираем, кому они подходят, как проходит установка, сколько длится адаптация и почему их цена выше, чем у классических вестибулярных систем. Также сравниваем лингвальные брекеты с элайнерами и отвечаем на три самых популярных вопроса пациентов.
Отклеился ретейнер: что делать, насколько это опасно?
Отклеился ретейнер: что делать, насколько это опасно?
Ретейнер отклеился — ситуация неприятная, но не катастрофическая, если действовать быстро. Даже частичное отклеивание с одного зуба требует визита к ортодонту: проволока, потерявшая фиксацию, не удерживает зубы и может травмировать десну.
Съёмный ретейнер для зубов
Съёмный ретейнер для зубов
Съёмный ретейнер — финальный и самый долгий этап ортодонтического лечения. Без него результат, достигнутый брекетами или элайнерами, постепенно сходит на нет. Зубы возвращаются к исходному положению.
20
1506
/uslugi/professionalnaya-gigiena/chistka-zubov/
50
2000
comment@vnikuda.ru
/bitrix/components/ktoto/comments

Оставить комментарий


Оставьте заявку на запись на бесплатную консультацию ортодонта
В консультацию входит 3D-диагностика, визуализация вашей новой улыбки, индивидуальный план лечения, расчёт стоимости «под ключ».
Нажимая на кнопку «Бесплатная консультация», вы соглашаетесь с политикой конфиденциальности.
Оставьте заявку на запись на бесплатную консультацию ортодонта