Работы

Больше 12000 пациентов за 8 лет работы. На этой странице — часть новых улыбок, вылепленных нашими руками.




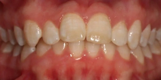
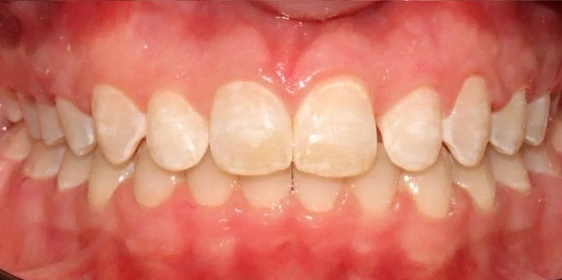
Скученность зубов, обе челюсти сужены — зубам не хватало места в ряду.
Лечащий врач
Ортодонт Стаж более 10 лет
Подробнее
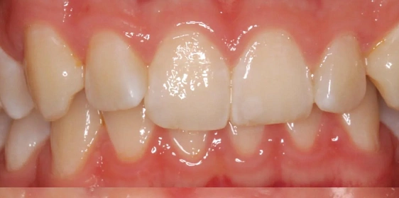
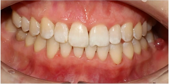
Нарушение соотношения челюстей и неправильное положение зубов — ряды смыкались некорректно, зубы стояли со смещением.
Лечащий врач
Ортодонт Стаж более 5 лет
Подробнее
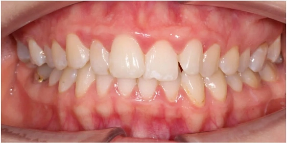
Нарушение соотношения челюстей и неправильное положение зубов — зубные ряды смыкались некорректно, зубы стояли со смещением.
Лечащий врач
Ведущий ортодонт Стаж более 17 лет
Подробнее
Сужение челюстей, выступающие резцы и скученность — 81 капа на элайнерах Spark
Обе челюсти сужены — зубам не хватало места. На верхней челюсти передние зубы выступали вперёд и были наклонены. На нижней — зубы стояли скученно, налезая друг на друга.
Подробнее
Нарушение соотношения челюстей и неправильное положение зубов — ряды смыкались некорректно, зубы стояли со смещением.
Лечащий врач
Ведущий стоматолог-ортодонт Стаж более 11 лет
Подробнее
Нарушение соотношения челюстей и неправильное положение зубов. Зубные ряды смыкались некорректно, зубы стояли со смещением.
Лечащий врач
Ортодонт Стаж более 8 лет
Подробнее
Неправильный прикус и положение зубов — лечение на элайнерах Spark
Нарушение соотношения челюстей и неправильное положение зубов — зубные ряды смыкались некорректно, зубы стояли со смещением.
Подробнее
Обе челюсти сужены — зубам не хватало места, из-за чего они стояли неровно. Верхняя челюсть выступала вперёд относительно нижней с обеих сторон (II класс по Энглю).
Лечащий врач
Ортодонт Стаж более 10 лет
Подробнее
Нарушение соотношения челюстей и неправильное положение зубов — зубные ряды смыкались некорректно, зубы стояли со смещением.
Лечащий врач
Ортодонт Стаж более 5 лет
Подробнее
Оставьте заявку на запись на бесплатную консультацию ортодонта
В консультацию входит 3D-диагностика, визуализация вашей новой улыбки, индивидуальный план лечения, расчёт стоимости «под ключ».
Нажимая на кнопку «Бесплатная консультация», вы даёте согласие на обработку персональных данных.
Оставьте заявку на запись на бесплатную консультацию ортодонта